Prosthodontic considerations in craniofacial and pharyngeal disorders: a clinical practice review
Introduction
Background
Craniofacial disorders can result in malformations of the face and skull due to birth defects, disease, or trauma, and are often associated with challenges to mastication, swallowing, speech and facial esthetics. These challenges can be present at birth or occur later in life. Management of these disorders is usually multidisciplinary reflecting the complexity of these diverse conditions.
Rationale and knowledge gap
Prosthodontic management, as part of the multidisciplinary team, aims to restore function and facial esthetics. However, awareness of the potential contribution of maxillofacial prosthodontic care is often limited for dental and medical professionals, as well as the general public (1). Anatomical defects related to the various craniofacial disorders can challenge prosthodontic care and require special attention. Lack of teeth, defects of intra- and extraoral anatomic structures, inadequate arch and tooth development and vertical dimension must be taken into consideration (2). Different types of prostheses are available for rehabilitation of patients with craniofacial disorders and at times can be an alternative when surgery is not indicated or preferred. Indications for each craniofacial prosthesis differ depending on the specific patient’s physical and psychosocial circumstances.
Objective
The aim of this clinical practice review is to provide a concise overview of different craniofacial prostheses available to address orofacial problems created by craniofacial disorders.
Maxillofacial prosthesis
Several types of oral facial prostheses can be employed to help restore function and esthetics for patients with craniofacial disorders. These prostheses can be provided to patients at an early stage as part of multidisciplinary treatment or in some cases, later, such as with cleft lip and palate, when the patient is no longer with their original treating team and seeks dental/maxillofacial prosthetic rehabilitation (3). It is important to determine which type of prosthesis will best maximize the patient’s quality of life during all stages of their care. In addition, new technical developments have increased the potential application for each of these options and contribute to improved success.
Removable prosthesis
A removable prosthesis is an appliance that can be inserted and removed from the mouth by the patient. This prosthesis is typically easier to clean and especially beneficial for patients with limited dexterity since it can be removed and cleaned outside the mouth. It can be used to replace several or all missing teeth as well as other affected oral structures. Removable prostheses can be retained and supported by teeth, surrounding tissue and/or osseointegrated dental implants. Examples of removable prostheses are removable partial dental prosthesis, complete dentures (including overdentures), and speech prostheses including obturators, bulbs, palatal lifts, and palatal drops.
Removable dental prosthesis and complete denture
A removable dental prosthesis or complete denture is indicated when several or all teeth are missing and particularly when there are tissue deficiencies, fistulas and loss of alveolar ridge or proper contour of the hard palate. The base and flange of the denture can compensate for unfavorable size and shape of the alveolar ridge and hard palate allowing proper teeth arrangement and facilitating improved speech (4). Moreover, in cases with severe vertical bone loss, a denture can prevent hygiene problems and can provide improved esthetics compared to a fixed prosthesis, for example by providing labial support.
Removable dental prostheses or complete dentures are one of the primary prosthodontic oral rehabilitation treatments for cleft lip and palate (5). Although the types of prosthesis offered to cleft lip and palate individuals are similar to non-cleft individuals, there are differences between cleft individuals and non-cleft individuals, especially regarding implant-supported prostheses. Level of bones around cleft area might be lower due to anatomic defects, delayed teeth eruption, malpositioned teeth, and presence of prostheses. Removable prostheses offer distinct advantages in covering and restoring alveolar deformities and defects in addition to replacing missing teeth and facilitating oral hygiene.
There are several oral manifestations of ectodermal dysplasia, for example hypodontia and anodontia, underdeveloped alveolar bone, impacted teeth and malformed teeth such as peg-shaped teeth. The prosthodontic treatment, which can be prescribed at various ages, includes removable dental prosthesis, onlay, tooth- and implant-supported fixed dental prosthesis and crown (6). A recent consensus on management of children with dental manifestations of ectodermal dysplasia concluded that for hypodontia and anodontia, no treatment is needed until the age of two (7). However, in order to minimize orofacial impairment with regards to nutrition, speech and esthetics, the first prosthetic rehabilitation should be performed before school enrolment (8).
As the pediatric patient grows, ensuring fit of the prosthesis through time is a challenge. Use of interim all acrylic instead of a definitive (chrome cobalt) removable dental prosthesis is preferred as these can be easily relined, rebased and remade with patient growth to maintain oral functions such as speech, mastication and swallowing (9). Due to growth, renewal of complete dentures or overdentures is expected every one to three years and for removable partial dentures after one to six years (8).
For anodontia, at age two to six years, it is agreed that the treatment of choice is a maxillary complete denture. The consensus regarding ectodermal dysplasia states that at 14 years of age, patients with anodontia secondary to ectodermal dysplasia can be treated with maxillary and mandibular complete denture with or without dental implants to assist with retention and support or an implant-supported fixed (complete denture or metal ceramic) prostheses (7).
Dental implants
Despite contraindication of dental implant placement in developing jaw, children with severe oligodontia or anodontia can benefit from retention from dental implants without detrimental effect. These implants are placed in strategic positions during childhood or before growth spurt (7,10,11). The best course of action after this implant supported prosthesis treatment is to follow up with a multidisciplinary team composed of experts in pediatric dentistry, orthodontics, prosthodontics and oral and maxillofacial surgery (12).
From a physiological perspective for growing patients, the preservation of bone may be the main benefit of dental implants (13), and in some circumstances, implants may stimulate alveolar bone development (14). Dental implants also benefit from excellent local vascularization, favourable immunobiological resistance and uncomplicated osseous healing in children (15,16). Dental implant placement for prostheses in the anterior mandible is not a problem because transverse development at the mandibular symphyseal suture often ceases in the first six months of life (17). However, due to the compensatory anteroposterior and vertical development in this anterior mandible, it is not recommended to utilize implants to replace individual teeth (e.g., implant crowns) for the partial edentulous arch in this region.
The small bone volume of children can limit dental implant placement in the best locations for prosthesis support (18). Furthermore, osseointegrated dental implants will behave like ankylosed teeth, not adapting to changes secondary to alveolar bone growth (15,19-21). However, the vertical and anteroposterior growth during alveolar development seems relatively small in the anodontia patient compared to the patient with hypodontia, in whom significant dental change is anticipated during growth (13). Therefore, dental implants in the absence of natural teeth may have few associated problems in the mandible (22,23).
Dental implants placed in the growing maxilla can pose different problems since transversal skeletal or alveolodental changes are more dramatic in the maxilla. The main complication reported has been the infraocclusion positioning of dental implants in the maxillary arch (21). The dental implant is deeply embedded in bone, and its apical portion can become exposed with the remodelling of the nasal floor (13). Transversal growth of the maxilla occurs mostly at the midpalatal suture (24). Therefore, dental implant-supported prostheses crossing the maxillary midline can be affected by horizontal growth of the maxilla and if the implants are tied together maxillary growth may be inhibited. These complications are usually difficult to correct and can prevent successful restorative procedures (21).
Dental implant placement in growing children is not advised, and if deemed necessary, it is indicated after seven years of age due to the increased demands for oral hygiene maintenance (11). Prior to implant placement, it is recommended that conventional prostheses are employed to prepare the patient and provide opportunity to observe facial esthetics and function, which will help inform the definitive implant treatment plan that follows (25).
For patients with hypodontia at age two to three years an interim removable dental prosthesis can be considered. Dental implants can be considered for support of removable partial denture of children aged seven to eleven years. Decision for an implant supported prosthesis is individually weighed against patient specific conditions and clinical indications in growing jaw. Some considerations to take into account are functional status (mastication and phonetics), esthetics concerns, and psychological condition of the child (7,26). In this regard, it is important to assess the severity of hypodontia, skeletal growth, and psychological stress when deciding on the best time of implant insertion (24). Other important factors to consider are compliance to implant treatment and hygiene (17). Dental and oral rehabilitation should be conservative and minimally invasive, particularly in this patient population (7).
In summary, regardless of age, removable interim all acrylic prostheses are frequently prescribed for children, with anterior implant supported removable denture prostheses in the mandible suggested for severe oligodontia or anodontia. However, implant insertion in growing maxilla should be avoided until early adulthood (6). For adults, a more definitive removable prosthesis with or without the aid of dental implants for support or retention are recommended (8).
Speech aid prostheses
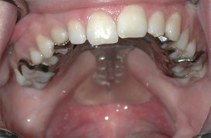
A speech aid prosthesis is a removable prosthesis designed to address acquired or congenital defects in the soft palate. It includes an extension into the pharynx, helping to separate the oropharynx from the nasopharynx during speech and swallowing, at the same time support the closure of the palatopharyngeal sphincter as well (27). The speech aid prosthesis can be provided in the form of palatal lift prosthesis (Figure 1) or pharyngeal prosthesis and helps to overcome velopharyngeal dysfunction. In a growing child, these prostheses need to be replaced regularly to accommodate growth and tooth eruption.
Velopharyngeal dysfunction following cleft palate primary repair occurs in 5–43% of cases despite scientific advances (28,29). Velopharyngeal dysfunction can be described as velopharyngeal incompetence when velopharyngeal structures are normal but have poor or no movement of velum and pharyngeal wall hinders velopharyngeal closure, while velopharyngeal insufficiency is when soft palate has inadequate length to close the velopharyngeal port but movement of the remaining tissue is normal.
Velopharyngeal incompetence results in hypernasality and lower intraoral air pressure during speech which leads to decreased intelligibility. There are different degrees of pharyngeal incompetence and even for the same patient variations in hypernasality occurrence can occur. For example fatigue or changes in posture can make hypernasality more pronounced. A palatal lift can be fabricated to improve hypernasality. The use of a palatal lift can stimulate the soft palate and can also effectively maintain velar elevation for patients with poor or weak velar movement (30,31).
Speech aid prostheses can also be used to improve dysarthria in amyotrophic lateral sclerosis (32) and traumatic brain injury. Speech therapy for velopharyngeal incompetence with neurophysiological etiology may benefit from the addition of a speech aid (31).
Surgical advancements allowed for treatment of velopharyngeal insufficiency with surgery, utilizing several approaches such as pharyngeal flaps, sphincter pharyngoplasties and palatoplasties (e.g., Furlow repairs) (28). Nevertheless, a speech aid prosthesis can still be utilized in several ways. One is a definitive treatment alternative to surgery when patient preferred prosthesis or when surgery is contraindicated due to presence of anatomic, systemic or functional limitations. Aside from that, speech aid prosthesis can also be used as a temporary measure until surgery is carry out. This depends on the individual patient rehabilitation plan (33). When the surgical prognosis is not clear, sometimes a speech aid prosthesis can serve as a diagnostic tool as well (34,35). Increasing the movement of the velopharyngeals structure can be performed by speech therapy in conjunction with prosthesis as a secondary procedure after surgery thereby improving the prognosis of the surgical correction (36).
Few systematic outcome studies have been conducted to analyse prosthesis effectiveness for treatment of velopharyngeal dysfunction related speech problems. A study from the United Kingdom outline the clinical process and reported the effectiveness of this type of intervention for cleft lip and palate patients (34). According to this study, patients are best assessed using a structured evaluation of velopharyngeal function. The structured evaluation includes perceptual speech assessment, videofluoroscopy, nasometry and nasendoscopy; after which patients meet with the cleft lip and palate team for a review on the history and clinical findings. The surgical prognosis is developed with input from a facial plastic surgeon, dental expert, and speech language therapist. Prosthetic rehabilitation can be proposed as a potential intervention in cases when surgery is contraindicated. Speech presentation, velopharyngeal defect features, age, developmental stage, related syndrome, etiology, patient, and family commitment are all taken into account. Prior to recommending a prosthesis, the patient’s general health and welfare are examined together with patient’s oral hygiene, dental health, remaining dentition, periodontal condition and occlusal relations by a dental specialist. This study concludes that prosthesis can be an effective therapy for hypernasality and excessive nasal airflow in velopharyngeal dysfunction patients (34).
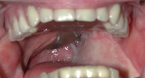
A pharyngeal speech aid prosthesis or speech bulb obturator is a removable device that treats velopharyngeal insufficiency by filling the pharyngeal space that cannot be closed through muscular function (37). A speech bulb obturator (Figure 2) usually has three parts: an anterior part (similar to a maxillary Hawley orthodontic retainer or removable dental prosthesis/complete denture), which can include prosthetic teeth in addition to obturation of the opening in the hard palate. The middle part of the device connects the anterior to the posterior part, while the posterior part is the bulb to correct or reduce the effects of velopharyngeal insufficiency. The bulb either goes upward behind the velum in the nasopharynx (if the remaining soft palate moves when the patients says “ah”) or the bulb can just be in contact laterally (if the remaining soft palate does not move). During velopharyngeal closure, the remaining soft tissue will move to contact the bulb resulting in the necessary closure. Ideally, when the velopharynx is not closed, there should be lateral space that will allow nasal breathing.
Traditionally, the functional contouring of a prosthesis utilizing functionally adapted impression materials such as modeling compound and mouth-temperature softening wax has been the foundation for prosthetic rehabilitation of soft palate abnormalities. When fabricating obturators for patients with these defects, instrumental visualization techniques can help avoid issues with under- or over-obturation. To assess velopharyngeal function, a fibreoptic nasal endoscope with a camera can be utilized. The flexible tip is positioned at an angle and rotated to ensure clear visibility of the velopharynx when at rest. The velopharyngeal valve is evaluated during breathing, speaking, and swallowing. For the assessment of velopharyngeal function during speech, phrases containing pressure-loaded consonants, such as “buy baby a bib” and “cherries and cheese”, as well as counts from 60 to 69, are used. These particular sounds are selected because they generate the most significant velopharyngeal movement. Afterward, the patient is instructed by a speech-language therapist on how to make the necessary adjustments to optimize speech production (34,38).
Obturators
Obturator is an intraoral prosthesis used to close, cover, or maintain the integrity of the oral and nasal compartments. The prosthesis facilitates speech and deglutition by replacing those tissues missing or lost due to surgical removal of the disease therefore reducing nasal regurgitation and hypernasal speech, and improving articulation, deglutition, and mastication (27). It eliminates hypernasality and assists speech therapy for reducing compensatory articulations (39). Ideally, it is most effective if provided prior to development of speech to avoid compensatory articulation occurrence (40).
An obturator consists of an acrylic plate similar to a dental orthodontic retainer and has a superior extension corresponding with the palatal defect (Figure 3). For the greatest effect, the extension needs to fit tightly enough, but not too tightly to cause any ulceration, to fill the palatal opening thus preventing air pressure or fluid leakage into the nasal cavity (37). If the obturator must be made large to fill the opening, it can be hollowed out to keep the weight of the obturator low, preventing retention problems and allowing better speech.
When there are congenitally missing teeth present, prosthetic replacement teeth can be joined to the plate to improve speech and esthetics. Clasps are used for retention of the obturator. In anodontia cases, when there are no teeth available for clasping, dental or zygoma implants can be used to assist retention of the obturator.
Contemporary craniofacial care should be as early as possible in the least amount of time. This often results in patients needing less prosthetic intervention. However, obturator prostheses are still effective treatment options when indicated. This appliance is indicated when surgical correction cannot be performed or as a temporary treatment before surgical repair. Currently these devices are most frequently employed for adult cleft patients without surgical repair protocol.
Palatal augmentation prostheses
Palatal drop or palatal augmentation prosthesis provides a reshaped palatal surface to improve tongue/palate contact during speech and swallowing (27) improving speech and swallowing (41,42). The tongue is an important articulation organ. It moves rapidly between different articulatory positions and tongue-to-palate contact is important for plosive consonant, e.g., /t/ and /d/. The shape of oral and pharyngeal cavity is also formed by the tongue during production of different vowel sounds. For this reason, some patients use a palatal augmentation prosthesis can to help to pronounce more precisely especially for velar sounds (41).
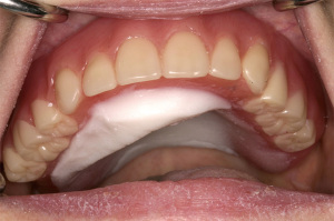
A palatal augmentation prosthesis consists of an acrylic plate covering the hard palate with retention derived from clasping of the teeth. The shaping of the augmentation of the palatal vault is made using functional impression against the tongue during function (Figure 4). This intraoral device can help not only patients with tongue impairment, but also patients with decreased glossal muscle strength (43). Therefore, this type of prosthesis is often used after glossectomy (42) and other oncologic surgeries with oropharyngeal neurological and motor sequelae (44) and stroke victims (43,45).
Bolus transformation and transfer to the pharynx is enabled by the tongue since the pharyngeal squeezing pressure is generated by tongue pressure. Pharyngeal transit time can be reduced when contact between the tongue and palatal region is facilitated by using palatal augmentation prostheses (43).
Different materials and designs have been employed to improve palatal augmentation prostheses. Removable thermoplastic sheet material for the palatal vault component can be used to reduce weight and facilitate prosthesis hygiene compared to the use of acrylic resin (46).
Fixed dental prosthesis
A fixed dental prosthesis is securely fixed to a natural tooth or teeth or dental implant(s) and cannot be removed by the patient. It can be used to restore teeth in partially edentulous arches or to restore clinical crown that is discolored, has abnormal or missing structure such as in amelogenesis imperfecta—a group of hereditary conditions that affect the structure and appearance of dental enamel (47) and ectodermal dysplasia patients respectively (Figure 5).
When a missing tooth for a partial edentulous patient, is to be replaced, a conventional fixed dental prosthesis or implant supported fixed prosthesis is usually the treatment of choice. However, when selecting a fixed replacement, there should be good periodontal health and no excessive soft/hard tissue deficiencies (4,48). In the event of significant soft/hard tissue deficiencies, a removable prosthesis may be indicated, although it may be possible to augment the deficient ridge with grafts.
A less invasive composite resin direct restorations are usually preferred in adolescence to avoid excessive teeth preparation of younger patients (Figure 6) (49). Longevity of composite resin restorations is significantly lower when used in patients with enamel hypoplasia compared to those with hypomineralized or hypomatured amelogenesis imperfecta (50). Indirect restorations such as crowns are preferred over direct restorations based on scientific evidence in patients with amelogenesis imperfecta (49).
Dental implants are commonly used in the oral reconstruction of ectodermal dysplasia patients with 20 years cumulative survival rate of 84.6% (51). Implant supported fixed prostheses can be provided for ectodermal dysplasia patients starting from fourteen years of age (7). However, additional clinical evidence is needed regarding bone resorption, the esthetic outcomes of implant therapy, and physiological considerations in ectodermal dysplasia patients (52).
It is known that palatal and alveolar bone deficiency cause relapse in orthodontic treatment of cleft lip and palate patients and late secondary bone grafting may not stabilize maxillary transverse dimension obtained by expansion (4). Therefore, permanent retention using prostheses is advised for some of these patients. Fixed dental prosthesis traversing the cleft can stabilize the premaxilla section, therefore preventing palatal expansion relapse. Implant placement is preferred after growth is over and placement is usually recommended within four to six months after bone grafting. Five-year survival rates for dental implant ranges from 80% to 90% (mean 88.6%). This shows that dental implant in cleft lip and palate patients have high success rate and allow for sufficient oral rehabilitation. However, evidence is limited since there are limited prospective clinical studies on dental implant in cleft patients (53).
Facial prostheses
Facial prostheses can be used for craniofacial rehabilitation when surgical reconstruction is not feasible or difficult due to surgical complexity of shaping the cartilage/soft tissue, e.g., auricular, nasal and orbital structures. This prosthesis reconstructs lost soft and hard tissue with an artificial substitute, usually made from silicone material. The use of silicone facial prosthesis in these areas is a good option as the esthetic outcomes of facial prostheses are usually good as shown by high satisfaction scores from the patient on anatomic form of the prosthesis, color and symmetry of the face (54). Restoring patient’s esthetic appearance is important for social acceptance and the use of facial prostheses has been shown to increase quality of life as well.
Unfortunately, these silicone prostheses have a short life span averaging in one to two years (55,56). A recent study states that the life span of these silicone facial prostheses ranges from half (0.5) to ten years, with a mean of 26, 17 and 31 months for orbital, nasal and auricular prostheses respectively. Problems related to these prostheses are discoloration (Figure 7A), tearing of the edges (Figure 7B) and some microbiological concerns in the intaglio surface (Figure 7C,7D) which calls for future research focusing on improving material durability and color stability to increase prosthesis’ longevity (54).
In microtia cases or other related conditions, ear prosthesis can provide esthetic and normal appearance without the need for multiple surgeries. However, ideally ear remnants secondary to congenital malformations should be removed prior to prosthesis reconstruction to facilitate fabrication of the esthetic prosthesis (57).
Facial prostheses are made of pigmented silicone which is traditionally attached to the skin with an adhesive and removed daily for home hygiene procedure. Adhesive retained prosthesis is sometimes difficult to position or placed, allowing some movement or dislodgement and skin irritation might occur in some patients. Scientific and clinical advances have allowed for the placement of implants to retain the facial prosthesis, eliminating the need to use skin adhesives. The craniofacial implants (average height of four millimeters) are placed into the craniofacial bone relevant to the facial parts to be prosthetically replaced and after osseointegration the implants are exposed through the skin and implant attachment is connected (39). Since silicone material cannot connect readily to the implant attachment, an acrylic housing is attached to the tissue surface of the implant retained facial prosthesis. Several examples of implant attachment systems are ball-, locator-, bar and clip, and magnetic attachment (Figure 8).
Success rate of implant differs between locations, implants in mastoid area have a higher overall success rate compared to implants placed in the nasal and orbital area. However, implant failure risk in irradiated bone is up to twelve times higher than implant placed in nonirradiated bone. Nevertheless, patients preferred implant retained facial prostheses compared to conventional prostheses. Implant retained facial prostheses have been shown to improve patients’ quality of life and daily activities (54,58).
Recent advances and future perspectives
Advances in digital technology have also impacted the practice of prosthodontics for craniofacial disorders. These advances, combined with new approaches to head and neck surgery, are resulting in new approaches, which need to be considered in future care delivery (1). This is apparent from a recent survey of the membership of the American Academy of Maxillofacial Prosthetics with the majority of the respondents reporting the nature of prosthetic care has changed in the past ten years. The main contributors to this change endorsed by the membership were new approaches to surgery and the introduction of advanced digital technology (Figure 9), which were selected by 60% and 56% of respondents, respectively (59).
The 2000s have been considered the time of innovation for maxillofacial prosthodontics. These include fundamental changes in the approach to head and neck care, emerging changes in disease patterns and the requirement for inclusion of patient reported outcome measures. Over this time, the profession has also come to see function as the primary goal of reconstructive surgery (1). Advanced digital technology continues to bring promise of improving functional reconstruction. Over the past 20 years, the increase in interest and utilization of advanced dental technology is reflected in the literature (60) and includes technology such as digital imaging, virtual planning, additive manufacturing, navigation, and robotics (59). In a recent survey, maxillofacial prosthodontists report that the highest percentage of access to advanced digital technology in clinical environment is for the design of implant positions in reconstructions, followed by availability of designing jaw reconstruction, designing implant position for facial prosthesis and, to a lesser extent, designing of facial prostheses (59).
Digital scanning of maxillary defects for obturator fabrication has shown acceptable treatment outcomes and when multi source data registrations are used, for example intraoral scanning of maxillary defect superimposed with computerized tomography (CT-Scan) data, the accuracy of virtual defect models should be improved (61,62). Currently a hybrid workflow that combines analog and digital workflows are used to fabricate devices for interdisciplinary management of craniofacial disorders patients. These devices help in planning, assists surgery, provide provisional prostheses and establishment of esthetics and occlusion of the definitive prostheses for interdisciplinary management of craniofacial disorders patient (63).
To make a facial prosthesis, conventional impressions might make patient feel uncomfortable and there is possibility of soft tissue distortion. Material manipulation, working and setting time also adds to clinical challenges related to technical sensitivity. Recording facial features digitally has been done using CT-scan (64), magnetic resonance imaging (MRI) (64), laser impressions (64), 3D photography (65,66) and digitizer (67) as described by several case reports. Digital impressions are also used to mirror the healthy side of the patient or to capture the healthy structures of a donor patient, after which the prosthesis is designed. Design of the final prosthesis or the flask is also done digitally (68), with studies ongoing on the 3D printing of the pigmented silicone prosthesis. Computerized color matching systems compared to the traditional manual approach which is highly reliant on the artistic skill of the operator show more predictable results for selecting prosthesis color (69).
A summary of different Prosthodontic options to address common craniofacial and pharyngeal conditions discussed in this review is presented in Table 1.
Table 1
| Craniofacial/pharyngeal conditions | Affected anatomical area(s) | Prosthodontic options* |
|---|---|---|
| Several teeth are missing | Teeth and alveolar ridge in maxilla and mandible | Removable partial dental prosthesis |
| All teeth are missing | Teeth and alveolar ridge in maxilla and mandible | Complete denture |
| Cleft lip and palate, cleft palate | Upper lip, palate, alveolar ridge | Removable dental prosthesis; fixed dental prosthesis; obturator |
| Ectodermal dysplasia and other syndromes affecting teeth | Abnormal tooth number (hypodontia, oligodontia, anodontia), shape or structure (amelogenesis imperfecta) and alveolar ridge | Removable dental prosthesis; fixed dental prosthesis, e.g., onlay, crowns; direct restorations |
| Velopharyngeal dysfunction | Soft palate, pharynx | Speech aid prosthesis |
| Tongue impairment | Contact between tongue and palate | Palatal augmentation prosthesis |
| Congenital abnormalities or following surgical procedures: microtia and anotia, anophthalmia, nasal deformities | Auricular, orbital, nasal | Facial prosthesis |
*, the prosthodontic options can be with or without dental or craniofacial implants for retention/support.
Conclusions
The rehabilitation of patients with craniofacial disorders requires an interdisciplinary approach. Rehabilitative and prosthetic treatment is one of the last treatment stages, usually after growth completion and finalization of surgeries. However, prosthesis can also be beneficial for growing patients with craniofacial disorders in meeting their functional and esthetic needs as they grow into adulthood. The indications of the type of prosthesis prescribed should be based on individual’s needs and expectations. Advances in technology continue to evolve and result in more predictable prostheses fabrication and less dependence on the skills of the operator. The availability of CAD/CAM centers will help serve patients in remote areas and hopefully will also enable healthcare providers in these regions to deliver improved care.
Acknowledgments
None.
Footnote
Provenance and Peer Review: This article was commissioned by the Guest Editor (Chung H. Kau) for the series “Managing Craniofacial and Dentofacial Disorders – Simplified Solutions for Difficult Situations” published in Frontiers of Oral and Maxillofacial Medicine. The article has undergone external peer review.
Peer Review File: Available at https://fomm.amegroups.com/article/view/10.21037/fomm-24-20/prf
Funding: None.
Conflicts of Interest: All authors have completed the ICMJE uniform disclosure form (available at https://fomm.amegroups.com/article/view/10.21037/fomm-24-20/coif). The series “Managing Craniofacial and Dentofacial Disorders – Simplified Solutions for Difficult Situations” was commissioned by the editorial office without any funding or sponsorship. The authors have no other conflicts of interest to declare.
Ethical Statement: The authors are accountable for all aspects of the work in ensuring that questions related to the accuracy or integrity of any part of the work are appropriately investigated and resolved. All clinical procedures described in this study were performed in accordance with the ethical standards of the institutional and/or national research committee(s) and with the Helsinki Declaration and its subsequent amendments. Written informed consent was obtained from the patients for the publication of this article and accompanying images. A copy of the written consent is available for review by the editorial office of this journal.
Open Access Statement: This is an Open Access article distributed in accordance with the Creative Commons Attribution-NonCommercial-NoDerivs 4.0 International License (CC BY-NC-ND 4.0), which permits the non-commercial replication and distribution of the article with the strict proviso that no changes or edits are made and the original work is properly cited (including links to both the formal publication through the relevant DOI and the license). See: https://creativecommons.org/licenses/by-nc-nd/4.0/.
References
- Wolfaardt JF, Brecht LE, Taft RM. The future of maxillofacial prosthodontics in North America: Part I-Journey to the present. J Prosthet Dent 2022;127:345-50. [Crossref] [PubMed]
- Hickey AJ, Salter M. Prosthodontic and psychological factors in treating patients with congenital and craniofacial defects. J Prosthet Dent 2006;95:392-6. [Crossref] [PubMed]
- Tannyhill RJ 3rd, Troulis MJ. Implant Therapy in Alveolar Cleft Sites. Oral Maxillofac Surg Clin North Am 2019;31:207-17. [Crossref] [PubMed]
- Acar O, Kaya B, Saka M, et al. Prosthodontic Rehabilitation of Cleft Lip and Palate Patients using Conventional Methods: A Case Series. Int J Prosthodont Restor Dent 2013;3:120-4.
- Freitas JA, Almeida AL, Soares S, et al. Rehabilitative treatment of cleft lip and palate: experience of the Hospital for Rehabilitation of Craniofacial Anomalies/USP (HRAC/USP) - Part 4: oral rehabilitation. J Appl Oral Sci 2013;21:284-92. [Crossref] [PubMed]
- Aydinbelge M, Gumus HO, Sekerci AE, et al. Implants in children with hypohidrotic ectodermal dysplasia: an alternative approach to esthetic management: case report and review of the literature. Pediatr Dent 2013;35:441-6.
- Klineberg I, Cameron A, Hobkirk J, et al. Rehabilitation of children with ectodermal dysplasia. Part 2: an international consensus meeting. Int J Oral Maxillofac Implants 2013;28:1101-9. [Crossref] [PubMed]
- Schnabl D, Grunert I, Schmuth M, et al. Prosthetic rehabilitation of patients with hypohidrotic ectodermal dysplasia: A systematic review. J Oral Rehabil 2018;45:555-70. [Crossref] [PubMed]
- Hickey AJ, Vergo TJ Jr. Prosthetic treatments for patients with ectodermal dysplasia. J Prosthet Dent 2001;86:364-8. [Crossref] [PubMed]
- Guckes AD, Scurria MS, King TS, et al. Prospective clinical trial of dental implants in persons with ectodermal dysplasia. J Prosthet Dent 2002;88:21-5.
- Sharma AB, Vargervik K. Using implants for the growing child. J Calif Dent Assoc 2006;34:719-24.
- Lo Muzio L, Bucci P, Carile F, et al. Prosthetic rehabilitation of a child affected from anhydrotic ectodermal dysplasia: a case report. J Contemp Dent Pract 2005;6:120-6.
- Cronin RJ Jr, Oesterle LJ. Implant use in growing patients. Treatment planning concerns. Dent Clin North Am 1998;42:1-34.
- Escobar V, Epker BN. Alveolar bone growth in response to endosteal implants in two patients with ectodermal dysplasia. Int J Oral Maxillofac Surg 1998;27:445-7. [Crossref] [PubMed]
- Ledermann PD, Hassell TM, Hefti AF. Osseointegrated dental implants as alternative therapy to bridge construction or orthodontics in young patients: seven years of clinical experience. Pediatr Dent 1993;15:327-33.
- Mankani N, Chowdhary R, Patil BA, et al. Osseointegrated dental implants in growing children: a literature review. J Oral Implantol 2014;40:627-31. [Crossref] [PubMed]
- Kearns G, Sharma A, Perrott D, et al. Placement of endosseous implants in children and adolescents with hereditary ectodermal dysplasia. Oral Surg Oral Med Oral Pathol Oral Radiol Endod 1999;88:5-10. [Crossref] [PubMed]
- Guckes AD, Roberts MW, McCarthy GR. Pattern of permanent teeth present in individuals with ectodermal dysplasia and severe hypodontia suggests treatment with dental implants. Pediatr Dent 1998;20:278-80.
- Smith RA, Vargervik K, Kearns G, et al. Placement of an endosseous implant in a growing child with ectodermal dysplasia. Oral Surg Oral Med Oral Pathol 1993;75:669-73. [Crossref] [PubMed]
- Percinoto C, Vieira AE, Barbieri CM, et al. Use of dental implants in children: a literature review. Quintessence Int 2001;32:381-3.
- Bohner L, Hanisch M, Kleinheinz J, et al. Dental implants in growing patients: a systematic review. Br J Oral Maxillofac Surg 2019;57:397-406. [Crossref] [PubMed]
- Oesterle LJ, Cronin RJ Jr, Ranly DM. Maxillary implants and the growing patient. Int J Oral Maxillofac Implants 1993;8:377-87.
- Cronin RJ Jr, Oesterle LJ, Ranly DM. Mandibular implants and the growing patient. Int J Oral Maxillofac Implants 1994;9:55-62.
- Kramer FJ, Baethge C, Tschernitschek H. Implants in children with ectodermal dysplasia: a case report and literature review. Clin Oral Implants Res 2007;18:140-6. [Crossref] [PubMed]
- Guckes AD, Brahim JS, McCarthy GR, et al. Using endosseous dental implants for patients with ectodermal dysplasia. J Am Dent Assoc 1991;122:59-62. [Crossref] [PubMed]
- Nunn JH, Carter NE, Gillgrass TJ, et al. The interdisciplinary management of hypodontia: background and role of paediatric dentistry. Br Dent J 2003;194:245-51. [Crossref] [PubMed]
- The Glossary of Prosthodontic Terms 2023: Tenth Edition. J Prosthet Dent 2023;130:e1-e3.
- Woo AS. Velopharyngeal dysfunction. Semin Plast Surg 2012;26:170-7. [Crossref] [PubMed]
- Kummer AW, Clark SL, Redle EE, et al. Current practice in assessing and reporting speech outcomes of cleft palate and velopharyngeal surgery: a survey of cleft palate/craniofacial professionals. Cleft Palate Craniofac J 2012;49:146-52. [Crossref] [PubMed]
- Schaefer KS, Taylor TD. Clinical Maxillofacial Prosthetics. 1st Ed. Taylor TD, editor. Quintessence Publishing Co, Inc; 2000:133-43.
- Kummer AW, Marshall JL, Wilson MM. Non-cleft causes of velopharyngeal dysfunction: implications for treatment. Int J Pediatr Otorhinolaryngol 2015;79:286-95. [Crossref] [PubMed]
- Esposito SJ, Mitsumoto H, Shanks M. Use of palatal lift and palatal augmentation prostheses to improve dysarthria in patients with amyotrophic lateral sclerosis: a case series. J Prosthet Dent 2000;83:90-8. [Crossref] [PubMed]
- Delgado AA, Schaaf NG, Emrich L. Trends in prosthodontic treatment of cleft palate patients at one institution: a twenty-one year review. Cleft Palate Craniofac J 1992;29:425-8. [Crossref] [PubMed]
- Sell D, Mars M, Worrell E. Process and outcome study of multidisciplinary prosthetic treatment for velopharyngeal dysfunction. Int J Lang Commun Disord 2006;41:495-511. [Crossref] [PubMed]
- Goiato MC, Pesqueira AA, Ramos da Silva C, et al. Patient satisfaction with maxillofacial prosthesis. Literature review. J Plast Reconstr Aesthet Surg 2009;62:175-80. [Crossref] [PubMed]
- Pinto JH, da Silva Dalben G, Pegoraro-Krook MI. Speech intelligibility of patients with cleft lip and palate after placement of speech prosthesis. Cleft Palate Craniofac J 2007;44:635-41. [Crossref] [PubMed]
- Dhakshaini MR, Pushpavathi M, Garhnayak M, et al. Prosthodontic Management in Conjunction with Speech Therapy in Cleft Lip and Palate: A Review and Case Report. J Int Oral Health 2015;7:106-11.
- Amin BM, Aras MA, Chitre V, et al. The role of nasendoscopy in the fabrication of a palatopharyngeal obturator - a case report. J Clin Diagn Res 2014;8:ZD12-4. [Crossref] [PubMed]
- Reisberg DJ. Dental and prosthodontic care for patients with cleft or craniofacial conditions. Cleft Palate Craniofac J 2000;37:534-7.
- Pinborough-Zimmerman J, Canady C, Yamashiro DK, et al. Articulation and nasality changes resulting from sustained palatal fistula obturation. Cleft Palate Craniofac J 1998;35:81-7. [Crossref] [PubMed]
- Löfhede H, Wertsén M, Havstam C. Palatal augmentation prostheses in individuals treated for head and neck cancer: Effects on speech and oral transport. Head Neck 2020;42:1882-92. [Crossref] [PubMed]
- Marunick M, Tselios N. The efficacy of palatal augmentation prostheses for speech and swallowing in patients undergoing glossectomy: a review of the literature. J Prosthet Dent 2004;91:67-74. [Crossref] [PubMed]
- Yoshida M, Endo Y, Nishimura R, et al. Palatal augmentation prosthesis (PAP) can improve swallowing function for the patients in rehabilitation hospital. J Prosthodont Res 2019;63:199-201. [Crossref] [PubMed]
- Asfar MM, Hutcheson KA, Won AM. Prosthetic Rehabilitation with Palatal Lift/Augmentation in a Patient with Neurologic/Motor Deficit Due To Cancer Therapy for Chondrosarcoma. J Prosthodont 2019;28:234-8. [Crossref] [PubMed]
- Light J, Edelman SB, Alba A. The dental prosthesis used for intraoral muscle therapy in the rehabilitation of the stroke patient. A preliminary research study. N Y State Dent J 2001;67:22-7.
- Shimodaira O, Sato Y, Oonishi C, et al. Fabrication of removable palatal augmentation prosthesis on a complete denture to reduce weight and maintain hygiene. J Prosthet Dent 2018;119:855-7. [Crossref] [PubMed]
- Abd Alraheam I, Donovan T. Management of amelogenesis imperfecta in an adult patient: a short review and clinical report. Br Dent J 2020;229:239-43. [Crossref] [PubMed]
- Brägger U, Schürch E Jr, Salvi G, et al. Periodontal conditions in adult patients with cleft lip, alveolus, and palate. Cleft Palate Craniofac J 1992;29:179-85. [Crossref] [PubMed]
- Strauch S, Hahnel S. Restorative Treatment in Patients with Amelogenesis Imperfecta: A Review. J Prosthodont 2018;27:618-23. [Crossref] [PubMed]
- Pousette Lundgren G, Dahllöf G. Outcome of restorative treatment in young patients with amelogenesis imperfecta. a cross-sectional, retrospective study. J Dent 2014;42:1382-9. [Crossref] [PubMed]
- Chrcanovic BR. Dental implants in patients with ectodermal dysplasia: A systematic review. J Craniomaxillofac Surg 2018;46:1211-7. [Crossref] [PubMed]
- Wang Y, He J, Decker AM, et al. Clinical outcomes of implant therapy in ectodermal dysplasia patients: a systematic review. Int J Oral Maxillofac Surg 2016;45:1035-43. [Crossref] [PubMed]
- Wermker K, Jung S, Joos U, et al. Dental implants in cleft lip, alveolus, and palate patients: a systematic review. Int J Oral Maxillofac Implants 2014;29:384-90. [Crossref] [PubMed]
- Dings JPJ, Merkx MAW, de Clonie Maclennan-Naphausen MTP, et al. Maxillofacial prosthetic rehabilitation: A survey on the quality of life. J Prosthet Dent 2018;120:780-6. [Crossref] [PubMed]
- Karakoca S, Aydin C, Yilmaz H, et al. Retrospective study of treatment outcomes with implant-retained extraoral prostheses: survival rates and prosthetic complications. J Prosthet Dent 2010;103:118-26. [Crossref] [PubMed]
- Visser A, Raghoebar GM, van Oort RP, et al. Fate of implant-retained craniofacial prostheses: life span and aftercare. Int J Oral Maxillofac Implants 2008;23:89-98.
- Beumer III J, Reisberg DJ, Marunick MT, et al. Rehabilitation of Facial Defects. In: Beumer III J, Marunick MT, Esposito SJ, Editors. Maxillofacial Rehabilitation Prosthodontic and Surgical Management of Cancer-Related, Acquired, and Congenital Defects of the Head and Neck. 3rd Ed. Quintessence Publishing Co, Inc; 2011:271-2.
- Higgins KM, Gressmann K, Yan B, et al. Patient satisfaction with different types of craniofacial prostheses. J Prosthet Dent 2024;132:647-53. [Crossref] [PubMed]
- Wolfaardt JF, Brecht LE, Taft RM. The future of maxillofacial prosthodontics in North America: Part II - A survey. J Prosthet Dent 2022;127:351-7. [Crossref] [PubMed]
- Elbashti ME, Sumita YI, Kelimu S, et al. Application of Digital Technologies in Maxillofacial Prosthetics Literature: A 10-Year Observation of Five Selected Prosthodontics Journals. Int J Prosthodont 2019;32:45-50. [Crossref] [PubMed]
- Ye H, Ma Q, Hou Y, et al. Generation and evaluation of 3D digital casts of maxillary defects based on multisource data registration: A pilot clinical study. J Prosthet Dent 2017;118:790-5. [Crossref] [PubMed]
- AlRumaih HS. Clinical Applications of Intraoral Scanning in Removable Prosthodontics: A Literature Review. J Prosthodont 2021;30:747-62. [Crossref] [PubMed]
- Azpiazu-Flores FX, Knobloch LA, Larsen PE. Interdisciplinary Management of a Patient with Dentinogenesis Imperfecta Type II Using a Combination of CAD-CAM and Analog Techniques: A Clinical Report. J Prosthodont 2022;31:647-54. [Crossref] [PubMed]
- Coward TJ, Scott BJ, Watson RM, et al. A comparison of prosthetic ear models created from data captured by computerized tomography, magnetic resonance imaging, and laser scanning. Int J Prosthodont 2007;20:275-85.
- Kimoto K, Garrett NR. Evaluation of a 3D digital photographic imaging system of the human face. J Oral Rehabil 2007;34:201-5. [Crossref] [PubMed]
- Sabol JV, Grant GT, Liacouras P, et al. Digital image capture and rapid prototyping of the maxillofacial defect. J Prosthodont 2011;20:310-4. [Crossref] [PubMed]
- Yoshioka F, Ozawa S, Okazaki S, et al. Fabrication of an orbital prosthesis using a noncontact three-dimensional digitizer and rapid-prototyping system. J Prosthodont 2010;19:598-600. [Crossref] [PubMed]
- Salazar-Gamarra R, Seelaus R, da Silva JV, et al. Monoscopic photogrammetry to obtain 3D models by a mobile device: a method for making facial prostheses. J Otolaryngol Head Neck Surg 2016;45:33. [Crossref] [PubMed]
- Kurt M, Karakoca Nemli S, Bankoğlu Güngör M, et al. Visual and instrumental color evaluation of computerized color matching system for color reproduction of maxillofacial prostheses. J Prosthet Dent 2022;128:1121-7. [Crossref] [PubMed]
Cite this article as: Ariani N, Anderson GC, Wee AG. Prosthodontic considerations in craniofacial and pharyngeal disorders: a clinical practice review. Front Oral Maxillofac Med 2026;8:10.




