Prosthodontic considerations to optimize implant restoration outcomes—a clinical practice review
Introduction
Multiple factors may influence the long-term outcome of an implant prosthesis, and a detailed prosthetic analysis based on evidence-based practice (EBP) (1) prior to any kind of dental implant rehabilitation is therefore mandatory. EBP means using strong scientific evidence to solve daily practice situations. This concept was described in 1991 as “the conscientious, explicit, and judicious use of current best evidence in making decisions for individual patients”.
Several types of implant macro-design systems, different abutment shapes and sizes, different restoration designs and finishings, rehabilitation materials and individual biological factors may contribute to the final and long-term outcome of a dental implant restoration. The present clinical practice review is based on the rationale that prosthodontic dentists, when dealing with an implant prosthesis, must consider whether a single unit or a multiple unit is involved. The study thus addresses all the important doubts we probably would have when facing an implant prosthetic rehabilitation.
The first decision to be made is what type of impression we want or can make, considering that scan systems are not available worldwide, though intra-oral scanning is very popular in developed countries. It is well known that the long-term outcomes of implant prostheses may be modified by their passive fit when they are splinted, or by the degree of micromovements when single units are placed, and the impression technique used plays an important role in the final adjustment (2,3). Other factors that need to be considered are the type of implant-abutment connection, which may increase or decrease the micro-gap and micro-movement, and the material the connection is made of. Transepithelial elements, or contrarily, employing direct units connected to the implant fixture can be used. We can choose titanium abutments or zirconia abutments, splint them when partial rehabilitations are needed, or divide them into single units, and even use polyetheretherketone (PEEK) material for temporary long-term use (4,5). Finally, we cannot ignore the surrounding tissues that play a very important role in maintenance of the peri-implant tissues, and the neighboring and antagonist teeth or rehabilitation, which can be protective or jeopardize the new prosthesis.
The development of new products and the application of new technologies, materials and designs based on new scientific evidence, have led us to elucidate new standards of success, advancing the reduction of complications, enhancing the long-term behavior of the implant restorations, facilitating clinical procedures, and improving the well-being of our patients. Overall, modern implantology has overcome past times where presurgical tridimensional planning did not exist or was scarce, literature about implant connections was not consistent, soft tissue management was not critical, and where conventional impressions represented the standard workflow on implant dentistry.
Therefore, the aim of this clinical practice review is to offer a detailed prosthetic analysis to help clinicians make scientific-based decisions when dealing with implant restorations to secure a long-term success of any dental implant rehabilitation. It is focused on analyzing the impression technique, the implant and abutment characteristics, the prosthetic materials, the surrounding tissues, and finally, the maintenance of the prosthesis.
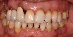
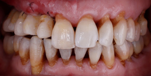
Figures 1,2 illustrate the initial situation of a clinical case before dental implant placement.
Impression technique
The ideal impression technique enables the creation of precise models, providing a passive fit to avoid biological and mechanical complications. Furthermore, it should be easy to use, require minimal chair time, be cost-effective, comfortable for the patient, and should yield reliable results. Conventional impression techniques remain widely used, though digital impressions are gaining popularity, since they offer numerous advantages, including 3D visualization of the preparation, enhanced patient comfort and acceptance, elimination of the need for tray selection, digital data storage, and a reduced risk of distortion associated with the traditional impression technique, casting, and disinfection processes (6-11).
We must accept that there will always be some kind of inaccuracy in our implant-prosthesis unit, so the objective should be to reduce it as much as possible and avoid unfavorable complications like fractures of components in the implant system, pain, marginal bone loss, and even loss of implant osseointegration (12,13). Mechanical tolerance, influenced by the precision of component machining, ranges from 22 to 100 µm, while biological tolerance allows some bone remodeling without compromising implant stability. There is no absolute consensus on the acceptable misfit level. Klineberg et al. (14) considered discrepancies of up to 30 µm at the implant-abutment interface to be acceptable, while Jemt et al. (15) proposed a 150 µm limit to avoid long-term complications. These discrepancies seem to be greater when working with screw-retained implant prostheses, which are more sensitive to the passive fit, since there is no cement in between to compensate for distortion. Albanchez-González et al. (16) obtained the same results when evaluating the in vitro accuracy of dental implant impressions taken with intra-oral scanners (IOS) and analogical conventional techniques, reaching the conclusion that both partial and single prosthetic units could achieve the same adjustment results.
Two types of elastomeric materials are available for taking analogical impressions: polyether (PE) and polyvinyl siloxane (PVS) (17,18). Both have poorer behavior when there is moisture, although PE performs better than PVS because the latter absorbs moisture, causing greater dimensional expansion (19). As far as possible, PE should be the material of choice, particularly when moisture control is not possible. Splinting the transfer copings using acrylic resin with a matrix of dental floss, orthodontic wire, and prefabricated acrylic resin rings around gold coping (20) is advised to maintain the spatial relationship and reduce distortion of the final conventional impression, because any distortion during the impression-making process will worsen the passive fit (20,21).
Intra-oral scanning has simplified the impression procedure by reducing the number of production steps (22), but it has some limitations, especially when it comes to larger areas. The bigger the area to be scanned, the less accuracy we may achieve (23,24). Full arches are particularly challenging for intraoral scanners (24), because they lack fixed anatomical reference points such as teeth or other restorations, which leads to a superimposition of images.
The specific number of implants at which accuracy significantly decreases remains uncertain, but this misalignment error becomes more pronounced when more than 6 implants are placed in the same dental arch (25-28). There is no need for splinting the scan bodies, but it is essential to understand that extended edentulous spaces, particularly in the mandible, as well as angled implants, are complex situations that might not result in perfect final impressions (23).
The use of long impression posts is recommended when deep implants are placed (29), although not all manufacturers offer them. Alternatives include cutting another impression post and joining it with auto-polymerizing resin (30) or employing alternative techniques such as fabricating a light-polymerized composite resin around the impression coping and placing occlusal registration material around the impression coping it to the adjacent teeth; a final impression is then performed with light-body PVS material (31).
When using IOS for partial arches, the clinician should adopt some precautions that may improve the impression (23-26): (I) saliva needs to be reduced, since its presence makes surfaces shiny, rough, or translucent during scanning; (II) patient movements, limited mouth opening, and an oversized tongue may also complicate the scanning procedure (32,33); (III) implant depth is also a factor that can influence measurement accuracy. The ideal scan body situation is when it is fully visible, because implant position transfer will be less prone to error, and intra-oral radiography is always recommended. As commented, the deeper the implant, the longer the scan body must be, although shorter scan bodies may be used in patients with complete edentulism or limited mouth opening (34); and (IV) agreement is lacking in the literature on the potential influence of implant angulation, although most recent articles report that the angulated position of the implants does not decrease the accuracy of implant digital casts (26).
When working with temporaries, we must be careful with the emergence profile (Figure 3), since it easily collapses once the temporary restoration is removed. This is the reason why some authors suggest the use of a customized conventional implant coping and the “inverse scan body” concept (35), to transfer the emergence profile after soft tissue shaping, and replicate the healed emergence peri-implant tissues, allowing the dental technician to fabricate a restoration with proper contour, function and aesthetics (36-38). On the other hand, using a sequence of intra-oral scans enables the laboratory to align them in the same 3D position, thus replicating the emergence profile of the provisional even if soft tissue collapse occurs during impression taking (39).
Artificial intelligence (AI)-driven applications are increasingly being developed in the field of implant dentistry to support the planning, design (40), and fabrication of implant prostheses. These AI-powered solutions encompass various functionalities, such as identifying implant systems in radiographic images, predicting the likelihood of successful osseointegration, and optimizing implant design. Additionally, they have been designed to enhance the performance of IOS and streamline data acquisition processes. Some IOS-integrated AI applications include automated scan cleaning to remove artifacts during scanning (e.g., interference from the tongue or operator’s fingers), assisted scanning to maintain camera focus despite improper scanning patterns, and AI-driven alignment of implant scan bodies with corresponding computer-aided design (CAD) models (“smart stitching”). These advanced features are incorporated into several intraoral scanners, including Medit T710 (Medit Corp, Seoul, South Korea), iTero (Align Technology Inc, San Jose, CA, USA), and Trios (3Shape A/S, Copenhagen, Denmark) systems.
A summary of advantages, limitations, and ideal applications of digital and conventional impression techniques are depicted in Table 1.
Table 1
| Method | Advantages | Limitations | Applications |
|---|---|---|---|
| Digital impression | • 3D visualization of the preparation | • Less accuracy in large-area scans | • Single and partial restorations |
| • Greater patient comfort and acceptance | • Challenges with shiny or wet surfaces | • Situations with good implant visibility | |
| • Digital data storage | • Requires specialized equipment and software | • Patients with limited mouth opening | |
| • Reduced risk of distortion due to the application of AI technologies | • Sensitive to implant position and depth | • Cases where emergence profile needs to be replicated through scan sequencing | |
| Conventional impression | • Still widely used | • Requires more chair time | • Full-arch cases or multiple implants |
| • Can be more precise in full-arch cases | • Higher risk of distortion due to handling | • High-moisture environments | |
| • Well-studied elastomeric materials | • Potential patient discomfort | • When maximum material stability is required | |
| • May require multiple attempts | • Situations where digitalization is less accessible |
AI, artificial intelligence.
Implant and abutment characteristics
The transmucosal portion is one of the most critical aspects for the long-term success of implant-prosthesis rehabilitation, since it ensures stability of the marginal bone and soft tissues (41). The basic rule is to keep the micro-gap away from the implant-prosthetic connection and make it as stable as possible to avoid the bacterial microfiltration (42). There are different ways to achieve this, and all of them depend on the implant type and the choice of the prosthetic connection by the clinician.
Implant characteristics
Implant-abutment connections always have a gap where microorganisms may grow. This bacterial reservoir causes inflammation, which ultimately leads to marginal bone loss. To minimize this problem, we must keep this connection as far as possible from the bone surface and reduce micro-movement in between these two components (43,44).
In 2006, Lazzara and Porter (45) observed radiographically that wide implants (5–6 mm in diameter) restored with 4.1 mm prosthetic components [non-matching or platform switching (PS)] were presenting less bone loss than matching connections. This observation led to the PS concept, which positions the implant-abutment interface inwardly and away from the outer edge of the implant platform, keeping bacteria further away and thus reducing bone loss. This reduction in bone loss appears to be correlated with the size of the step between the implant and abutment (the larger the step of PS, the less the bone loss), and is probably the reason why some systematic reviews and meta-analyses have found that external systems show more marginal bone loss than internal connections (46). Figure 4 illustrates an external and an internal implant-abutment connection in a single unit prosthesis after a 15-year follow-up, showing a better surrounding bone stability with the internal connection. When comparing internal and conical connections, it seems that the latter are the most stable, although there is no difference between them if the internal connection has a PS design (47,48). When comparing micromovements, Goiato et al. (49) reported no differences between conical and internal connections, although the former are more resistant to bending and rotational forces, which reduces abutment loosening or fracture, in comparison with external or internal connections. The main disadvantage of steep conical connections is that they preclude splinting and usually require the use of trans-epithelial abutments (49,50).
Although bone level implants are the most popular options, tissue level implants are still widely used, especially in non-aesthetic sites (51). Due to the post-extraction bone resorption after tooth extractions, smaller diameter implants are usually advised, and a transmucosal abutment helps in creating an appropriate emergence profile. Furthermore, tissue-level implants can locate the prosthesis connection far away from the bone level, leading to less peri-implant disease. This is the main reason why some articles recommend the use of tissue-level implants when there is a higher risk of developing mucositis or peri-implantitis (51-53).
Abutment characteristics
When working with single unit prosthesis, connecting the prosthesis directly to the implant body is the most common solution. To make this prosthesis retrievable, a metal ceramic or zirconia crown is cemented to the titanium abutment, which is later connected and screwed directly to the implant fixture.
As we increase the number of implant fixtures, especially when they have conical connection, and in case we need or want to splint them, it’s crucial to work with trans-epithelial abutments like multiunit ones (Figure 5). Using trans-epithelial abutments allows us to correct the dis-parallelism between the implants and reduce the stress that implants receive in splinted prosthesis. Figure 6 shows a second temporary restoration to enhance the surrounding soft-tissue contour.
In the above-mentioned scenarios, both single and multiple restorations, the abutment height plays an important role, because if it is insufficient, it may not leave enough space for the mucosa to re-establish the supracrestal tissue (biological width), increasing the risk of marginal bone loss (54-58). According to Galindo-Moreno et al. (55), the higher the abutment (2-4 mm), the less the marginal bone loss.
Bernabeu-Mira et al. (59) reported less marginal bone remodeling and less marginal bone loss when comparing cylindrical abutments and wide abutments during the first 12 months after implant placement. In contrast, when the shape changes from cylindrical to concave, marginal bone loss decreases with the concave design during a 6-month observation period (51). However, a recent systematic review and meta-analysis describes a low impact for soft tissue maintenance (60).
Koutouzis et al. (61) investigated the effects of abutment geometry (convex vs. concave) on peri-implant tissue changes over three years. The results are summarized in Table 2.
Table 2
| Parameter | Convex abutment, mm | Concave abutment, mm | P value |
|---|---|---|---|
| Buccal mucosal position change (IP-FU3) | −0.54±0.93 | −0.53±0.87 | 0.98 |
| Marginal bone remodeling (IP-FU3) | −0.69±0.48 | −0.16±0.22 | 0.005 |
| Mesial mucosal rebound (IP-FU) | 0.63±1.43 | 1.69±0.85 | 0.04 |
Data are presented as mean ± standard deviation. FU, follow-up; IP, implant placement.
The results demonstrated that no significant difference in buccal mucosal margin stability was observed between convex and concave abutments. In contrast, concave abutments demonstrated significantly less marginal bone remodeling compared to convex abutments (−0.16 vs. −0.69 mm, P=0.005). And concave abutments promoted greater soft tissue rebound at the mesial site (1.69 vs. 0.63 mm, P=0.04), suggesting a potential advantage for long-term soft tissue stability. Overall, while both abutment designs maintained soft tissue levels, concave abutments were associated with less bone remodeling and improved interproximal soft tissue response, highlighting their potential benefits in implant-supported restorations.
Finally, regarding the angle created between the implant and the prosthesis, it has been observed that 15–25° does not influence bone stability, but angles of 45° or more can induce bone resorption (61); it is therefore important to reduce the implant fixation-restoration angle to below 25° to preserve marginal bone around the implant fixation. Katafuchi et al. (52) have shown that the variations in the implant-restoration angle influence bone stability in the long term. When the angle exceeds 30 degrees, there is a significant increase in the risk of peri-implantitis, the main reasons are the mechanical stress concentration and plaque accumulation and limited oral hygiene access. A steeper angle changes the distribution of occlusal forces, creating higher stress and accelerate marginal bone loss; however, when a steeper angle is combined with a convex abutment profile, it creates an over contoured restoration that makes plaque removal more difficult and leads to higher bacterial colonization, so it is important to decrease the implant fixture-restoration angle below 25° to preserve marginal bone around implant body.
Prosthetic materials
A broad range of materials can be used for implant restorations, including zirconia, titanium, lithium disilicate, veneering ceramics, PEEK, metal alloys, gold, and others. It is essential to categorize the prosthetic materials available for implant restoration into two distinct groups—subgingival and supragingival—in order to understand which one is most appropriate for each specific function, aiding in making informed decisions and preventing potential causes of failure.
Metal abutments
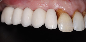
For decades, metal-ceramic implant prostheses have been considered the first option because they offer the strength of the metal framework (Figure 7) and the aesthetic qualities of the ceramic (Figure 8). Due to the presence of saliva, metal alloy frameworks imply the release of ions in the mouth, mainly copper, zinc and nickel, which may have cytotoxic effects (53,62). High noble (noble metal content ≥60% and gold ≥40%) or noble alloys (noble metal content ≥25%) exhibit better biocompatibility, minimizing the risk of adverse tissue reactions (63,64), but cost concerns have reduced their use, especially after the introduction of titanium- and ceramic-based materials.
Titanium and titanium alloys are commonly used for abutments and frameworks, based on their advantages such as great strength, biocompatibility, and resistance to corrosion (65). This material is ideal for subgingival location, although it can become visible through the gingiva when the latter is under 2 mm in thickness, resulting in an unappealing grayish tint (66). Titanium would be a great supragingival material, but the thick oxide layer it creates when exposed to the atmosphere complicates bonding to the porcelain (67). The solution is to cement a porcelain fused to a metal crown, or a full ceramic crown, and cement it onto the titanium abutment. It is advisable to treat the surface using mechanical (sandblasting) or chemical means (bonding agents) to enhance bonding of the ceramic crowns, regardless of the type of cement (68).
When comparing the clinical performance between metal and ceramic abutments, the observed mean marginal bone loss was not found to be significantly different (69). Similarly, the mean pocket probing depth around implants was not significantly different among titanium, alumina or zirconia abutments (70). The most common complications reported when using metal abutments are crown fractures and chipping of the veneering material, due to ceramic fusion irregularities during firing (71).
Zirconia
Zirconia has emerged as a prominent material for implant-supported prostheses, gaining widespread acceptance in the field of dental restorations due to its reduced treatment costs and treatment time (72,73). Known for its biocompatibility and aesthetic appeal, zirconia offers a compelling alternative to traditional metal-ceramic solutions, with a low plaque accumulation rate due to its polishing characteristics and excellent hard and soft tissue integration (63), decreasing the risk of infection and peri-implant disease. This material demonstrates excellent corrosion resistance in the oral environment, ensuring long-term stability (74). Surface modifications improve its biological properties, promoting smooth tissue sealing and reducing bacterial colonization (75). As a bioinert ceramic, zirconia supports fibroblastic proliferation, forming an effective mucosal barrier and inhibiting bacterial adhesion. Monolithic zirconia restorations show enhanced physical properties and biocompatibility, making them suitable for clinical use. It exhibits a favorable biological response in peri-implant tissues, with reduced inflammation and significant vascular proliferation (74). Flores et al. (76) demonstrated a significant increase in type V collagen fibers in peri-implant tissues affected by peri-implantitis; however, in this in vitro study, normal collagen fiber distribution was observed in 90% of cases (74). These characteristics make zirconia a reliable and predictable material for implant applications.
Zirconia is suitable for both single and multiple unit restorations because it has enough fracture toughness and strength to ensure long-term durability under the functional demands of mastication. One of the main disadvantages when using it at supragingival level is a higher rate of single crown fractures when compared to metal-ceramic solutions (2.1% vs. 0.2%) (63), while the veneering ceramic chipping rate has been found to be similar for both materials. In relation to multiple unit fixed prostheses, Sailer et al. (73) reported a 93% survival rate for zirconia prostheses after a 5-year period of use, with fracture of the framework being the main reason causing them to suggest metal-ceramic frameworks instead.
The use of monolithic zirconia restorations, especially for multiple implant-supported restorations, has helped to reduce long-term complications (63,73). Al-Tarawneh et al. (77) described acceptable behavior of monolithic and minimally layered zirconia full-arch after 12 months to 7 years of use and observed that the number of complications was reduced in prostheses with 5 to 8 implants, conventional (non-angulated or zygomatic) implants and with regular maintenance compliance.
Lithium disilicate
Monolithic lithium disilicate has recently gained popularity among clinicians due to its great strength, making it suitable for withstanding occlusal forces and integrating well into advanced digital workflows. However, concerns have been raised regarding its biocompatibility. Studies by Messer et al. (78) and Brackett et al. (79) suggest that lithium disilicate is not biologically inert and may exhibit greater cytotoxicity than other materials (80,81). Even though some studies showed that pressed lithium disilicate has excellent biocompatibility, revealing decreased incidence of bleeding on probing, plaque accumulation and suppuration (80,81).
Some investigations indicate that polished lithium disilicate exhibits good fibroblast adhesion, suggesting better biocompatibility compared to glazed lithium disilicate. Polishing may enhance tissue reactions compared to glazing, which is known to increase surface roughness and reduce biocompatibility (82). Therefore, re-polishing the subgingival portion after glazing with specific protocols has proved to improve its biocompatibility, presenting a denser and smoother surface (83).
Zirconia is often preferred for subgingival applications due to its superior biological compatibility, in combination with lithium disilicate bonded crowns using cement or fusion techniques (82,83).
Composite
Composite resin abutments have been proposed as an alternative for restoring dental implants, though composite is still mainly used as a temporary solution. Magne et al. (84) demonstrated comparable fatigue resistance of porcelain and composite resin veneers that were bonded to resin implant abutments. However, a significant concern is the response of the peri-implant soft tissues to composite resin when located subgingivally. Kanao et al. (85) indicated that composite resin surfaces have a greater propensity for plaque accumulation, leading to increased mucosal inflammation compared to metal and titanium abutments.
Consequently, the use of composite resin abutments is limited, as they appear to promote greater plaque formation and may lack long-term biocompatibility.
PEEK
PEEK is a linear, aromatic, semi-crystalline, high-performance thermoplastic polymer (5) that has gained significant attention in dentistry due to its exceptional biocompatibility, mechanical properties, and versatility in clinical applications (4). Recently, PEEK has been utilized as a framework material for metal-free fixed dental prostheses, removable dental prostheses, implant-supported fixed prostheses, implant-retained overdentures, endocrowns, and resin-bonded fixed dental prostheses, as well as for the fabrication of dental implants, implant abutments, healing abutments, and occlusal splints. This material exhibits high temperature resistance, chemical stability, polishability, excellent wear resistance, low plaque affinity, and strong bonding capabilities with veneering composites and luting cements (4,5,86).
Notably, PEEK’s low modulus of elasticity, which is comparable to that of bone, provides a cushioning effect that reduces stress transfer to abutment teeth, offering a distinct advantage over rigid materials such as zirconium oxide and metal alloys (5,87). Thus, it is used as a framework, reducing the risk of mechanical complications due to the reduced weight and higher elasticity than zirconia frameworks (88). Durable bonding of PEEK with composite resins permits, also, easy intraoral repair of PEEK restorations with composite resin in case of chipping (5). Additionally, PEEK’s radiolucency allows for unobstructed X-ray imaging, facilitating better monitoring of implants and surrounding tissues, while its aesthetic properties enable color matching to natural teeth, making it suitable for aesthetic restorations (5).
Therefore, PEEK is a promising material in dentistry, particularly for patients who may have allergies to metals or for those who prefer non-metallic dental solutions. However, ongoing research and clinical trials are essential to fully understand its long-term efficacy and safety in dental applications. A full description of the key properties of the different prosthesis materials is summarized in Table 3.
Table 3
| Material | Strength & durability | Biocompatibility | Aesthetic properties | Other key features | Common issues |
|---|---|---|---|---|---|
| Metal alloys | High strength, durable | High noble alloys have good biocompatibility | Poor aesthetics, can cause grayish tint | Corrosion-resistant, used for subgingival areas | Can release ions (e.g., Ni, Zn, Cu), potential cytotoxicity, veneering ceramic chipping |
| Titanium | High strength, corrosion-resistant | Excellent, bioinert | Can cause grayish discoloration | Good bonding with ceramics after surface treatment | Bonding with porcelain is challenging due to oxide layer |
| Zirconia | High fracture toughness, strong but brittle | Excellent, low plaque accumulation | Highly aesthetic, tooth-colored | Resistant to bacterial colonization, good tissue integration | Higher single crown fracture rate compared to metal-ceramic restorations |
| Lithium disilicate | High strength, suitable for occlusal forces | Excellent, low plaque accumulation | Excellent aesthetics, good translucency | Polishing improves biocompatibility and adhesion | Glazed surfaces may have poorer tissue response |
| Composite resin | Moderate strength, mainly for temporary use | Lower biocompatibility, promotes plaque buildup | Aesthetic, but may degrade over time | Fatigue resistance comparable to porcelain | High plaque accumulation, increased mucosal inflammation |
| PEEK | Moderate strength, flexible | Excellent, low plaque affinity | Aesthetic, can be color-matched | Lightweight, stress-absorbing, radiolucent | Lower stiffness than metals or zirconia, research on long-term performance is ongoing |
PEEK, polyetheretherketone.
Surrounding tissues
The condition of the surrounding soft tissues, especially keratinized tissue, plays a very important role in the long-term success of dental implants, though there is still debate in this regard (89,90). Some studies suggest that the condition of soft tissue has little influence on implant survival (90), while others highlight its potential benefits for better plaque control and peri-implant health (89-95). Wu et al. (89) and Ramanauskaite et al. (90) have described greater plaque accumulation when there is a lack of keratinized mucosa, which usually leads to attachment loss. Moreover, brushing may become uncomfortable and cause the patient to neglect proper home maintenance (92).
The three-dimensional mucosa configuration is related to the three-dimensional position of the implant (93), and influences the long-term implant-restoration outcome (94): values below 2 mm of keratinized mucosa width (KMW) may cause discomfort when performing oral hygiene routines and increase the risk of peri-implantitis; thus, in order to achieve better stability of the mucosa and minimize the gray shade of the submucosal prosthetic elements, a minimum of 2 mm mucosal thickness (MT) is required (94). It has also been described a MT of at least 2 mm to be considered as the threshold for having good esthetic outcomes (66). In addition, it has been revealed that the use of a connective tissue graft to enhance peri-implant soft tissue thickness prevents mucosal recession, inflammation, and peri-marginal bone loss (66,96-98). In this regard, the free gingival graft harvested from the palate is the most effective technique in recreating keratinized mucosa at implant sites (99), although a significant increase in keratinized peri-implant mucosa width has also been achieved using connective tissue graft (100). Finally, other techniques such as using a xenogeneic collagen matrix can also be effective in increasing peri-implant soft tissue thickness and keratinized mucosa (101).
A supracrestal tissue height (STH) below 3 mm seems to increase marginal bone loss and complicates achieving an excellent emergent profile of the prosthesis (94).
Therefore, soft tissue grafting to achieve excellent long-term performance of implant prostheses and reduce the risk of peri-implantitis is mandatory, especially when peri-implant soft tissue limitations are evident (95,96). In addition, significantly less implant soft tissue recession has been described with connective tissue grafts vs. implants without grafting (96). Accordingly, surgical techniques such as free gingival graft, autogenous connective tissue graft and xenogeneic collagen matrix graft are recommended is this regard (99-101).
Maintenance of the prosthesis
There are two basic factors to ensure the long-term success of dental implant prostheses: (I) a good home care program; and (II) regular professional implant maintenance. Soares et al. (102) recommend re-evaluation every three months during the first year of use to keep the risk of infection or failure of the implant under control. The first months after implant placement and loading seem to be the crucial time for preventing middle- and long-term marginal bone loss associated with implant failure (103). From then onwards, the clinician should propose regular visits based on the general health conditions and risk factors of the patient, recommending a professional maintenance routine about every 4–6 months, according to Monje et al. (104). Even though, within this recommended time between 4 and 6 months for professional maintenance of implant restorations, it may be difficult to define a specific dental office maintenance program schedule since each patient has its own specific conditions, so it could be stated that the more the risk factors we detect, the shorter the maintenance routine at the dental clinic (105). Table 4 shows the risk factors associated with increased mechanical and technical complications of that suggest an interval time reduction of a professional maintenance routine, according to Bardis et al. (105).
Table 4
| Age over 60 years |
| Smoking |
| Active periodontal disease |
| Poor oral hygiene |
| Implant site grafting |
| Opposing surfaces on metal ceramic dental supported structures |
Probing should be avoided during the initial healing and integration phase (the first 6 months), but after that period, probing with a plastic-coated probe will help control the evolution of the peri-implant tissues (106). Ideal measurements should be between 2.5 to 5.0 mm or less, depending on the implant macro-design, and there should be no signs of inflammation (107).
In single and partial scenarios, patients can usually keep a good home care program, so ordinary professional maintenance is suggested every 4–6 months. Full arch prostheses have more food impaction and more difficulty to be cleaned properly. Consequently, they pose a greater risk of mucositis and peri-implantitis, and regular professional maintenance should be performed every 3 or 4 months depending on the characteristics of the patients and individual risk factors (108). Removal of the prosthesis, whether single or multiple, is not recommended unless adequate professional cleaning is not possible with the prosthesis in place, which undoubtedly occurs more frequently in extensive fixed prostheses, including complete arch rehabilitation (109). Figures 9,10 illustrate the clinical view of the implant restoration after 1 year follow-up, and the radiological view after 2 years follow-up, respectively.
This review is not exempt from limitations, considering that new technological applications in restorative dentistry advances vastly, but evidence-based dentistry takes some time to support scientific conclusions. In this context, professional experience plays an important role to face daily clinical practice, balancing emerging new clinical proposals with well-documented alternatives. This review is strongly based on long-term clinical experience in dental implant rehabilitation, from the restorative point of view and the advantage since it widens the optical view of the prosthetic dentist, with the complement of incorporating new digital approaches and new materials, but without forgetting the esthetic and functional response on a short and long-term scenario.
Conclusions
Dealing with an implant-supported rehabilitation raises multiple issues for the clinician that can modify the long-term outcome and performance:
- Digital impressions generally exhibit higher accuracy for single implants or partial prostheses, though challenges arise with full-arch impressions or when implants are deeply placed or angled. Conventional impressions, using PE or silicone, may excel in complex cases like full-arch rehabilitations. Consequently, digital impressions are highly recommended for single and partial fixed prostheses, and further studies on digital impression for full-arch cases are needed.
- Evidence on implant design suggests that PS and conical connection at the implant-abutment junction are the most important factors in keeping bone stability, although we need to consider other factors such as vertical and horizontal peri implant soft tissue.
- External connections are more prone to micromovements and loss of retention, on the other hand, internal connection implants demand the use of transepithelial abutments, above all when these prostheses involve multiple or splinted implants. Thus, internal connections and transepithelial abutments in multiple implant restorations are the current recommendations.
- When restoring full edentulous arches, the use of transepithelial abutments is mandatory, moreover in internal connection implants. In single unit prosthesis, cemented crowns on customized or prefabricated titanium abutments are the golden standard.
- Titanium abutments continue to be favored due to their excellent integration with soft tissues and predictable outcomes, but due to its poor bonding to ceramic, it’s better to cement zirconia, metal or ceramic structures instead. More studies are needed to overcome titanium abutment limitations.
- Titanium and zirconia continue to be the materials of choice for single-unit restorations due to their biocompatibility and strength.
- Metal ceramics remain the golden standard for implant-supported multiple-unit prosthesis, since conventionally veneered zirconia still has high risk of framework fractures and chipping of veneering ceramic. Further research to explore aesthetic outcomes and prevalence of short- and long-term complications of new materials are needed, involving full zirconia restorations.
- The presence of a thick, wide and high peri implant surrounding tissue is mandatory to keep long-term stability of the prosthesis. In case there’s a lack of it, different soft-tissue surgical techniques are strongly recommended.
- Proper and tailored home care and professional maintenance according to patient risk factors and prosthesis characteristics should be performed to assure a long-term success of the whole implant treatment. An average time between 4 and 6 months for professional maintenance of implant restorations is recommended. In cases of risk factors or full arch prosthesis with mucosal complications detected, time for professional maintenance should be reduced to 3–4 months. Finally, when adequate professional cleaning is not possible with the prosthesis in place, removal of prosthesis is mandatory, especially in extensive fixed prostheses.
Acknowledgments
None.
Footnote
Peer Review File: Available at https://fomm.amegroups.com/article/view/10.21037/fomm-24-54/prf
Funding: None.
Conflicts of Interest: All authors have completed the ICMJE uniform disclosure form (available at https://fomm.amegroups.com/article/view/10.21037/fomm-24-54/coif). The authors have no conflicts of interest to declare.
Ethical Statement: The authors are accountable for all aspects of the work in ensuring that questions related to the accuracy or integrity of any part of the work are appropriately investigated and resolved. All clinical procedures described in this study were performed in accordance with the ethical standards of the institutional and/or national research committee(s) and with the Declaration of Helsinki and its subsequent amendments. Written informed consent was obtained from the patients for the publication of this article and accompanying images. A copy of the written consent is available for review by the editorial office of this journal.
Open Access Statement: This is an Open Access article distributed in accordance with the Creative Commons Attribution-NonCommercial-NoDerivs 4.0 International License (CC BY-NC-ND 4.0), which permits the non-commercial replication and distribution of the article with the strict proviso that no changes or edits are made and the original work is properly cited (including links to both the formal publication through the relevant DOI and the license). See: https://creativecommons.org/licenses/by-nc-nd/4.0/.
References
- Venkatesan S, Krishnamoorthi D, Raju R, et al. Evidence-Based Prosthodontics. J Pharm Bioallied Sci 2022;14:S50-9. [Crossref] [PubMed]
- Papaspyridakos P, Vazouras K, Chen YW, et al. Digital vs Conventional Implant Impressions: A Systematic Review and Meta-Analysis. J Prosthodont 2020;29:660-78. [Crossref] [PubMed]
- Gjelvold B, Chrcanovic BR, Korduner EK, et al. Intraoral Digital Impression Technique Compared to Conventional Impression Technique. A Randomized Clinical Trial. J Prosthodont 2016;25:282-7. [Crossref] [PubMed]
- Blanch-Martínez N, Arias-Herrera S, Martínez-González A. Behavior of polyether-ether-ketone (PEEK) in prostheses on dental implants. A review. J Clin Exp Dent 2021;13:e520-6. [Crossref] [PubMed]
- Papathanasiou I, Kamposiora P, Papavasiliou G, et al. The use of PEEK in digital prosthodontics: A narrative review. BMC Oral Health 2020;20:217. [Crossref] [PubMed]
- Joda T, Brägger U. Patient-centered outcomes comparing digital and conventional implant impression procedures: a randomized crossover trial. Clin Oral Implants Res 2016;27:e185-9. [Crossref] [PubMed]
- Haddadi Y, Bahrami G, Isidor F. Evaluation of Operating Time and Patient Perception Using Conventional Impression Taking and Intraoral Scanning for Crown Manufacture: A Split-mouth, Randomized Clinical Study. Int J Prosthodont 2018;31:55-59. [Crossref] [PubMed]
- Guo DN, Liu YS, Pan SX, et al. Clinical Efficiency and Patient Preference of Immediate Digital Impression after Implant Placement for Single Implant-Supported Crown. Chin J Dent Res 2019;22:21-8. [Crossref] [PubMed]
- Sailer I, Mühlemann S, Fehmer V, et al. Randomized controlled clinical trial of digital and conventional workflows for the fabrication of zirconia-ceramic fixed partial dentures. Part I: Time efficiency of complete-arch digital scans versus conventional impressions. J Prosthet Dent 2019;121:69-75. [Crossref] [PubMed]
- Di Fiore A, Vigolo P, Graiff L, et al. Digital vs Conventional Workflow for Screw-Retained Single-Implant Crowns: A Comparison of Key Considerations. Int J Prosthodont 2018;31:577-9. [Crossref] [PubMed]
- Lee SJ, Jamjoom FZ, Le T, et al. A clinical study comparing digital scanning and conventional impression making for implant-supported prostheses: A crossover clinical trial. J Prosthet Dent 2022;128:42-8. [Crossref] [PubMed]
- Ahlholm P, Sipilä K, Vallittu P, et al. Digital Versus Conventional Impressions in Fixed Prosthodontics: A Review. J Prosthodont 2018;27:35-41. [Crossref] [PubMed]
- D'haese R, Vrombaut T, Roeykens H, et al. In Vitro Accuracy of Digital and Conventional Impressions for Full-Arch Implant-Supported Prostheses. J Clin Med 2022;11:594. [Crossref] [PubMed]
- Klineberg IJ, Murray GM. Design of superstructures for osseointegrated fixtures. Swed Dent J Suppl 1985;28:63-9.
- Jemt T, Rubenstein JE, Carlsson L, et al. Measuring fit at the implant prosthodontic interface. J Prosthet Dent 1996;75:314-25. [Crossref] [PubMed]
- Albanchez-González MI, Brinkmann JC, Peláez-Rico J, et al. Accuracy of Digital Dental Implants Impression Taking with Intraoral Scanners Compared with Conventional Impression Techniques: A Systematic Review of In Vitro Studies. Int J Environ Res Public Health 2022;19:2026. [Crossref] [PubMed]
- Johnson GH, Mancl LA, Schwedhelm ER, et al. Clinical trial investigating success rates for polyether and vinyl polysiloxane impressions made with full-arch and dual-arch plastic trays. J Prosthet Dent 2010;103:13-22. [Crossref] [PubMed]
- Del'Acqua MA, Chávez AM, Amaral AL, et al. Comparison of impression techniques and materials for an implant-supported prosthesis. Int J Oral Maxillofac Implants 2010;25:771-6.
- Walker MP, Petrie CS, Haj-Ali R, et al. Moisture effect on polyether and polyvinylsiloxane dimensional accuracy and detail reproduction. J Prosthodont 2005;14:158-63. [Crossref] [PubMed]
- Vigolo P, Fonzi F, Majzoub Z, et al. An evaluation of impression techniques for multiple internal connection implant prostheses. J Prosthet Dent 2004;92:470-6. [Crossref] [PubMed]
- Lyu M, Di P, Lin Y, et al. Accuracy of impressions for multiple implants: A comparative study of digital and conventional techniques. J Prosthet Dent 2022;128:1017-23. [Crossref] [PubMed]
- Keul C, Güth JF. Accuracy of full-arch digital impressions: an in vitro and in vivo comparison. Clin Oral Investig 2020;24:735-45. [Crossref] [PubMed]
- Ender A, Zimmermann M, Mehl A. Accuracy of complete- and partial-arch impressions of actual intraoral scanning systems in vitro. Int J Comput Dent 2019;22:11-9.
- Çakmak G, Yilmaz H, Treviño A, et al. The effect of scanner type and scan body position on the accuracy of complete-arch digital implant scans. Clin Implant Dent Relat Res 2020;22:533-41. [Crossref] [PubMed]
- Abduo J, Elseyoufi M. Accuracy of Intraoral Scanners: A Systematic Review of Influencing Factors. Eur J Prosthodont Restor Dent 2018;26:101-21. [Crossref] [PubMed]
- Gimenez-Gonzalez B, Hassan B, Özcan M, et al. An In Vitro Study of Factors Influencing the Performance of Digital Intraoral Impressions Operating on Active Wavefront Sampling Technology with Multiple Implants in the Edentulous Maxilla. J Prosthodont 2017;26:650-5. [Crossref] [PubMed]
- Imburgia M, Logozzo S, Hauschild U, et al. Accuracy of four intraoral scanners in oral implantology: a comparative in vitro study. BMC Oral Health 2017;17:92. [Crossref] [PubMed]
- Mandelli F, Ferrini F, Gastaldi G, et al. Improvement of a Digital Impression with Conventional Materials: Overcoming Intraoral Scanner Limitations. Int J Prosthodont 2017;30:373-6. [Crossref] [PubMed]
- Lee H, Ercoli C, Funkenbusch PD, et al. Effect of subgingival depth of implant placement on the dimensional accuracy of the implant impression: an in vitro study. J Prosthet Dent 2008;99:107-13. [Crossref] [PubMed]
- Patil P, Madhav VNV, Alshadidi AAF, et al. Comparative evaluation of open tray impression technique: investigating the precision of four splinting materials in multiple implants. BMC Oral Health 2023;23:844. [Crossref] [PubMed]
- Linkevicius T, Svediene O, Vindasiute E, et al. A technique for making impressions of deeply placed implants. J Prosthet Dent 2011;106:204-5. [Crossref] [PubMed]
- Mangano F, Gandolfi A, Luongo G, et al. Intraoral scanners in dentistry: a review of the current literature. BMC Oral Health 2017;17:149. [Crossref] [PubMed]
- Ender A, Attin T, Mehl A. In vivo precision of conventional and digital methods of obtaining complete-arch dental impressions. J Prosthet Dent 2016;115:313-20. [Crossref] [PubMed]
- Ender A, Zimmermann M, Attin T, et al. In vivo precision of conventional and digital methods for obtaining quadrant dental impressions. Clin Oral Investig 2016;20:1495-504. [Crossref] [PubMed]
- Mizumoto RM, Yilmaz B. Intraoral scan bodies in implant dentistry: A systematic review. J Prosthet Dent 2018;120:343-52. [Crossref] [PubMed]
- González-Martín O, Martín-Luque M, Acevedo A, et al. Digital Workflows to Optimize Peri-implant Soft Tissue Management: The Inverse Scan Body Concept. QDT 2021;2022:236-54.
- Hinds KF. Custom impression coping for an exact registration of the healed tissue in the esthetic implant restoration. Int J Periodontics Restorative Dent 1997;17:584-91.
- Attard N, Barzilay I. A modified impression technique for accurate registration of peri-implant soft tissues. J Can Dent Assoc 2003;69:80-3.
- da Silva Marques DN, Marques Pinto RJ, Alves RVAA, et al. Soft tissue replication in single unit implant impressions-A three dimensional clinical study. J Esthet Restor Dent 2019;31:359-68. [Crossref] [PubMed]
- Clavijo V, Recena R, Mesquita de Carvalho PF, et al. RepliCAD—Digital Impression Strategies to Replicate the Soft Tissue Architecture and Teeth Position for Predictability in Final Restorations. QDT 2021;2022:20-45.
- Revilla-León M, Gómez-Polo M, Sailer I, et al. An overview of artificial intelligence based applications for assisting digital data acquisition and implant planning procedures. J Esthet Restor Dent 2024;36:1666-74. [Crossref] [PubMed]
- Mattheos N, Vergoullis I, Janda M, et al. The Implant Supracrestal Complex and Its Significance for Long-Term Successful Clinical Outcomes. Int J Prosthodont 2021;34:88-100. [Crossref] [PubMed]
- Liu Y, Wang J. Influences of microgap and micromotion of implant-abutment interface on marginal bone loss around implant neck. Arch Oral Biol 2017;83:153-60. [Crossref] [PubMed]
- Camps-Font O, Rubianes-Porta L, Valmaseda-Castellón E, et al. Comparison of external, internal flat-to-flat, and conical implant abutment connections for implant-supported prostheses: A systematic review and network meta-analysis of randomized clinical trials. J Prosthet Dent 2023;130:327-40. [Crossref] [PubMed]
- Lazzara RJ, Porter SS. Platform switching: a new concept in implant dentistry for controlling postrestorative crestal bone levels. Int J Periodontics Restorative Dent 2006;26:9-17.
- Koutouzis T. Implant-abutment connection as contributing factor to peri-implant diseases. Periodontol 2000 2019;81:152-66. [Crossref] [PubMed]
- Caricasulo R, Malchiodi L, Ghensi P, et al. The influence of implant-abutment connection to peri-implant bone loss: A systematic review and meta-analysis. Clin Implant Dent Relat Res 2018;20:653-64. [Crossref] [PubMed]
- Yamanishi Y, Yamaguchi S, Imazato S, et al. Effects of the implant design on peri-implant bone stress and abutment micromovement: three-dimensional finite element analysis of original computer-aided design models. J Periodontol 2014;85:e333-8. [Crossref] [PubMed]
- Goiato MC, Pellizzer EP, da Silva EV, et al. Is the internal connection more efficient than external connection in mechanical, biological, and esthetical point of views? A systematic review. Oral Maxillofac Surg 2015;19:229-42. [Crossref] [PubMed]
- Linkevičius T. Zero Bone Loss Concepts. 1st ed. Quintessence Publishing; 2019.
- Lago L, da Silva L, Fernández-Formoso N, et al. Systematic Assessment of Soft Tissue Level and Bone Level Dental Implants. J Oral Maxillofac Surg Med Pathol 2023;35:375-82.
- Katafuchi M, Weinstein BF, Leroux BG, et al. Restoration contour is a risk indicator for peri-implantitis: A cross-sectional radiographic analysis. J Clin Periodontol 2018;45:225-32. [Crossref] [PubMed]
- Yi Y, Koo KT, Schwarz F, et al. Association of prosthetic features and peri-implantitis: A cross-sectional study. J Clin Periodontol 2020;47:392-403. [Crossref] [PubMed]
- Agustín-Panadero R, Bermúdez-Mulet I, Fernández-Estevan L, et al. Peri-Implant Behavior of Tissue Level Dental Implants with a Convergent Neck. Int J Environ Res Public Health 2021;18:5232. [Crossref] [PubMed]
- Galindo-Moreno P, León-Cano A, Ortega-Oller I, et al. Prosthetic Abutment Height is a Key Factor in Peri-implant Marginal Bone Loss. J Dent Res 2014;93:80S-5S. [Crossref] [PubMed]
- Muñoz M, Vilarrasa J, Ruíz-Magaz V, et al. Influence of the abutment height on marginal bone level changes around two-piece dental implants: Meta-analysis and trial sequential analysis of randomized clinical trials. Clin Oral Implants Res 2023;34:81-94. [Crossref] [PubMed]
- Chen Z, Lin CY, Li J, et al. Influence of abutment height on peri-implant marginal bone loss: A systematic review and meta-analysis. J Prosthet Dent 2019;122:14-21.e2. [Crossref] [PubMed]
- Pérez-Sayans M, Castelo-Baz P, Penarrocha-Oltra D, et al. Impact of abutment geometry on early implant marginal bone loss. A double-blind, randomized, 6-month clinical trial. Clin Oral Implants Res 2022;33:1038-48. [Crossref] [PubMed]
- Bernabeu-Mira JC, Peñarrocha-Diago M, Viña-Almunia J, et al. Influence of abutment shape on peri-implant tissue conditions: A randomized clinical trial. Clin Oral Implants Res 2023;34:1015-24. [Crossref] [PubMed]
- Canullo L, Pesce P, Patini R, et al. What Are the Effects of Different Abutment Morphologies on Peri-implant Hard and Soft Tissue Behavior? A Systematic Review and Meta-Analysis. Int J Prosthodont 2020;33:297-306. [Crossref] [PubMed]
- Koutouzis T, Ali A, AlRubaie M. Clinical and radiographic peri-implant tissue changes for implants restored with convex or concave abutment shapes: A 3-year randomized controlled trial. Clin Oral Implants Res 2023;34:675-83. [Crossref] [PubMed]
- Elshahawy W, Watanabe I. Biocompatibility of Dental Alloys Used in Dental Fixed Prosthodontics. Tanta Dent J 2014;11:150-9.
- Pjetursson BE, Valente NA, Strasding M, et al. A systematic review of the survival and complication rates of zirconia-ceramic and metal-ceramic single crowns. Clin Oral Implants Res 2018;29:199-214. [Crossref] [PubMed]
- Morton D, Gallucci G, Lin WS, et al. Group 2 ITI Consensus Report: Prosthodontics and implant dentistry. Clin Oral Implants Res 2018;29:215-23. [Crossref] [PubMed]
- Linkevicius T, Vaitelis J. The effect of zirconia or titanium as abutment material on soft peri-implant tissues: a systematic review and meta-analysis. Clin Oral Implants Res 2015;26:139-47. [Crossref] [PubMed]
- Jung RE, Sailer I, Hämmerle CH, et al. In vitro color changes of soft tissues caused by restorative materials. Int J Periodontics Restorative Dent 2007;27:251-7.
- Haag P, Khan F, Andersson M, et al. Influence of firing conditions and production methods on fracture strength of titanium-based metal ceramic crowns. J Adhes Sci Technol 2018;32:225-38.
- Al-Thobity AM. Titanium Base Abutments in Implant Prosthodontics: A Literature Review. Eur J Dent 2022;16:49-55. [Crossref] [PubMed]
- Laleman I, Lambert F, Gahlert M, et al. The effect of different abutment materials on peri-implant tissues-A systematic review and meta-analysis. Clin Oral Implants Res 2023;34:125-42. [Crossref] [PubMed]
- Andersson B, Taylor A, Lang BR, et al. Alumina ceramic implant abutments used for single-tooth replacement: a prospective 1- to 3-year multicenter study. Int J Prosthodont 2001;14:432-8.
- Gonzalez-Gonzalez I, deLlanos-Lanchares H, Brizuela-Velasco A, et al. Complications of Fixed Full-Arch Implant-Supported Metal-Ceramic Prostheses. Int J Environ Res Public Health 2020;17:4250. [Crossref] [PubMed]
- Sailer I, Strasding M, Valente NA, et al. A systematic review of the survival and complication rates of zirconia-ceramic and metal-ceramic multiple-unit fixed dental prostheses. Clin Oral Implants Res 2018;29:184-98. [Crossref] [PubMed]
- Sailer I, Balmer M, Hüsler J, et al. Comparison of Fixed Dental Prostheses with Zirconia and Metal Frameworks: Five-Year Results of a Randomized Controlled Clinical Trial. Int J Prosthodont 2017;30:426-428. [Crossref] [PubMed]
- Baus-Domínguez M, Oliva-Ferrusola E, Maza-Solano S, et al. Biological Response of the Peri-Implant Mucosa to Different Definitive Implant Rehabilitation Materials. Polymers (Basel) 2024;16:1534. [Crossref] [PubMed]
- Zhang W, Fu W, Wang X, et al. Improving the osseointegration and soft tissue sealing of zirconia ceramics by the incorporation of akermanite via sol infiltration for dental implants. J Mater Chem B 2023;11:4237-59. [Crossref] [PubMed]
- Flores V, Venegas B, Donoso W, et al. Collagen quantification in peri-implant soft tissues in human peri-implantitis lesions. Int J Morphol 2021;39:683-7.
- Al-Tarawneh S, Thalji G, Shonberg D, et al. Retrospective Cohort Evaluation of Full-Arch Zirconia Implant-Supported Fixed Prostheses. Int J Oral Maxillofac Implants 2023;38:381-90. [Crossref] [PubMed]
- Messer RL, Lockwood PE, Wataha JC, et al. In vitro cytotoxicity of traditional versus contemporary dental ceramics. J Prosthet Dent 2003;90:452-8. [Crossref] [PubMed]
- Brackett MG, Lockwood PE, Messer RL, et al. In vitro cytotoxic response to lithium disilicate dental ceramics. Dent Mater 2008;24:450-6. [Crossref] [PubMed]
- Tafuri G, Xhajanka E, Hysenaj N, et al. Mechanical and biocompatibility testing of zirconia and lithium disilicate ceramics: An in vitro study. J Prosthet Dent 2025;133:593.e1-8. [Crossref] [PubMed]
- Mahmoud IA, ElTannir AM, Eissa SM, et al. Assessment of crestal bone loss and periodontal parameters of polymer infiltrated ceramic network versus lithium disilicate implant hybrid abutment crowns in the esthetic zone (A randomized clinical trial). Clin Implant Dent Relat Res 2024;26:333-42. [Crossref] [PubMed]
- Mehl C, Kern M, Zimmermann A, et al. Impact of Cleaning Procedures on Adhesion of Living Cells to Three Abutment Materials. Int J Oral Maxillofac Implants 2017;32:976-84. [Crossref] [PubMed]
- Steiner R, Beier US, Heiss-Kisielewsky I, et al. Adjusting dental ceramics: An in vitro evaluation of the ability of various ceramic polishing kits to mimic glazed dental ceramic surface. J Prosthet Dent 2015;113:616-22. [Crossref] [PubMed]
- Magne P, Oderich E, Boff LL, et al. Fatigue resistance and failure mode of CAD/CAM composite resin implant abutments restored with type III composite resin and porcelain veneers. Clin Oral Implants Res 2011;22:1275-81. [Crossref] [PubMed]
- Kanao M, Nakamoto T, Kajiwara N, et al. Comparison of plaque accumulation and soft-tissue blood flow with the use of full-arch implant-supported fixed prostheses with mucosal surfaces of different materials: a randomized clinical study. Clin Oral Implants Res 2013;24:1137-43. [Crossref] [PubMed]
- Zoidis P. The all-on-4 modified polyetheretherketone treatment approach: A clinical report. J Prosthet Dent 2018;119:516-21. [Crossref] [PubMed]
- Sailer I, Asgeirsson AG, Thoma DS, et al. Fracture strength of zirconia implant abutments on narrow diameter implants with internal and external implant abutment connections: A study on the titanium resin base concept. Clin Oral Implants Res 2018;29:411-23. [Crossref] [PubMed]
- Cabello-Domínguez G, Pérez-López J, Veiga-López B, et al. Maxillary zirconia and mandibular composite resin-lithium disilicate-modified PEEK fixed implant-supported restorations for a completely edentulous patient with an atrophic maxilla and mandible: A clinical report. J Prosthet Dent 2020;124:403-10. [Crossref] [PubMed]
- Wu Q, Qu Y, Gong P, et al. Evaluation of the efficacy of keratinized mucosa augmentation techniques around dental implants: a systematic review. J Prosthet Dent 2015;113:383-90. [Crossref] [PubMed]
- Ramanauskaite A, Schwarz F, Sader R. Influence of width of keratinized tissue on the prevalence of peri-implant diseases: A systematic review and meta-analysis. Clin Oral Implants Res 2022;33:8-31. [Crossref] [PubMed]
- Mancini L, Strauss FJ, Lim HC, et al. Impact of keratinized mucosa on implant-health related parameters: A 10-year prospective re-analysis study. Clin Implant Dent Relat Res 2024;26:554-63. [Crossref] [PubMed]
- Kungsadalpipob K, Supanimitkul K, Manopattanasoontorn S, et al. The lack of keratinized mucosa is associated with poor peri-implant tissue health: a cross-sectional study. Int J Implant Dent 2020;6:28. [Crossref] [PubMed]
- Smukler H, Castellucci F, Capri D. The role of the implant housing in obtaining aesthetics: generation of peri-implant gingivae and papillae--Part 1. Pract Proced Aesthet Dent 2003;15:141-9; quiz 150.
- Monje A, González-Martín O, Ávila-Ortiz G. Impact of peri-implant soft tissue characteristics on health and esthetics. J Esthet Restor Dent 2023;35:183-96. [Crossref] [PubMed]
- Galarraga-Vinueza ME, Tavelli L. Soft tissue features of peri-implant diseases and related treatment. Clin Implant Dent Relat Res 2023;25:661-81. [Crossref] [PubMed]
- Valles C, Vilarrasa J, Barallat L, et al. Efficacy of soft tissue augmentation procedures on tissue thickening around dental implants: A systematic review and meta-analysis. Clin Oral Implants Res 2022;33:72-99. [Crossref] [PubMed]
- Park WB, Kang KL, Han JY. Long-Term Clinical and Radiographic Observation of Periimplant Tissues After Autogenous Soft Tissue Grafts: A 15-Year Retrospective Study. Implant Dent 2017;26:762-9. [Crossref] [PubMed]
- Zuiderveld EG, Meijer HJA, den Hartog L, et al. Effect of connective tissue grafting on peri-implant tissue in single immediate implant sites: A RCT. J Clin Periodontol 2018;45:253-64. [Crossref] [PubMed]
- Giannobile WV, Jung RE, Schwarz F, et al. Evidence-based knowledge on the aesthetics and maintenance of peri-implant soft tissues: Osteology Foundation Consensus Report Part 1-Effects of soft tissue augmentation procedures on the maintenance of peri-implant soft tissue health. Clin Oral Implants Res 2018;29:7-10. [Crossref] [PubMed]
- Cairo F, Barbato L, Tonelli P, et al. Xenogeneic collagen matrix versus connective tissue graft for buccal soft tissue augmentation at implant site. A randomized, controlled clinical trial. J Clin Periodontol 2017;44:769-76. [Crossref] [PubMed]
- Gargallo-Albiol J, Barootchi S, Tavelli L, et al. Efficacy of Xenogeneic Collagen Matrix to Augment Peri-Implant Soft Tissue Thickness Compared to Autogenous Connective Tissue Graft: A Systematic Review and Meta-Analysis. Int J Oral Maxillofac Implants 2019;34:1059-1069. [Crossref] [PubMed]
- Soares PM, Silveira GDA, Gonçalves LS, et al. Maintenance protocols for implant-supported dental prostheses: A scoping review. J Prosthet Dent 2024;132:59-71. [Crossref] [PubMed]
- Galindo-Moreno P, Catena A, Pérez-Sayáns M, et al. Early marginal bone loss around dental implants to define success in implant dentistry: A retrospective study. Clin Implant Dent Relat Res 2022;24:630-42. [Crossref] [PubMed]
- Monje A, Wang HL, Nart J. Association of Preventive Maintenance Therapy Compliance and Peri-Implant Diseases: A Cross-Sectional Study. J Periodontol 2017;88:1030-41. [Crossref] [PubMed]
- Bardis D, Agop-Forna D, Pelekanos S, et al. Assessment of Various Risk Factors for Biological and Mechanical/Technical Complications in Fixed Implant Prosthetic Therapy: A Retrospective Study. Diagnostics (Basel) 2023;13:2341. [Crossref] [PubMed]
- Lindhe J, Meyle J. Peri-implant diseases: Consensus Report of the Sixth European Workshop on Periodontology. J Clin Periodontol 2008;35:282-5. [Crossref] [PubMed]
- Misch CE. Diagnostic Imaging and Techniques. In: Contemporary Implant Dentistry. 3rd ed. Elsevier; 2008:116-35.
- Gulati M, Govila V, Anand V, et al. Implant Maintenance: A Clinical Update. Int Sch Res Notices 2014;2014:908534. [Crossref] [PubMed]
- Piermatti J, Barndt P, Thalji G. Maintenance of Full-Arch Implant Restorations. American College of Prosthodontists. Position statement 2016. Available online: https://www.prosthodontics.org/about-acp/position-statement-maintenance-of-full-arch-implant-restorations/
Cite this article as: Nogueron-Dorca N, Díaz-Robles Y, Xiao-Liu N, Gómez-Gómez A, Gargallo-Albiol J. Prosthodontic considerations to optimize implant restoration outcomes—a clinical practice review. Front Oral Maxillofac Med 2026;8:8.

