Surgical management of maxillary transverse discrepancies in the orthognathic patient: a narrative review
Introduction
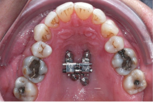
A surgical approach to expansion is indicated in patients beyond adolescence when there is a moderate to severe transverse skeletal discrepancy in the maxilla (1). This is quantified as greater than 5 mm expansion requirement and when traditional rapid maxillary expansion (RME) will be less effective. Such techniques for correction are even more appropriate if the teeth are normally inclined and there is a risk of fenestration of the buccal bone or periodontal damage with thin gingival biotype. A narrow v-shaped maxilla with a high vaulted palate may warrant this method of correction, particularly in the presence of unilateral or bilateral cross bites (Figure 1). Avoiding or limiting buccal tipping of the maxillary teeth by utilising skeletal expansion may prevent vertical discrepancies in high angle patients being potentiated. Furthermore, surgical expansion may also be indicated when an increase in the dental arch diameter helps to alleviate moderate crowding. The concomitant reduction in the buccal corridors and increase in buccal show of the teeth will also improve smile aesthetics (2-4). This narrative review aims to provide a structured synthesis of surgical options for managing maxillary transverse discrepancies in the orthognathic patient, with emphasis on relapse, stability and clinical decision-making considerations. We have included the most recent literature and studies using cone-beam computed tomography (CBCT), which provides a new method for assessing the amount of sutural separation and regions of greatest relapse at bone level. We present this article in accordance with the Narrative Review reporting checklist (available at https://fomm.amegroups.com/article/view/10.21037/fomm-25-11/rc).
Methods
The study was conducted following a comprehensive literature search across five databases: PubMed, Scopus, Medline, Embase, and Cochrane, up to January 01, 2025. The following search terms: ‘surgically assisted rapid palatal expansion’, ‘surgically assisted rapid maxillary expansion’, ‘Le fort I segmental osteotomy with transverse expansion’, ‘surgically assisted Mini-Implant Anchored Rapid Palatal Expansion’ and ‘Miniscrew assisted rapid palatal expansion’.
The search was independently conducted by all authors. Following selection of suitable literature, all authors met to finalise and agree final selection of papers to include within the review (see Table 1).
Table 1
| Items | Specification |
|---|---|
| Date of search | 01 January, 2025 |
| Databases and other sources searched | PubMed, Scopus, Medline, Embase, and Cochrane |
| Search terms used | ‘surgically assisted rapid palatal expansion’, ‘surgically assisted rapid maxillary expansion’, ‘Le fort I segmental osteotomy with transverse expansion’, ‘Surgically assisted Mini-Implant Anchored Rapid Palatal Expansion’ and ‘Miniscrew assisted rapid palatal expansion’ |
| Timeframe | Inception to 01 January, 2025 |
| Inclusion and exclusion criteria | English language only. Exclusion of case reports and case series |
| Selection process | Independent selection by two authors (O.J.K., F.J.), consensus obtained following meeting with authors to agree studies to include |
Surgical treatment options to achieve maxillary expansion
Surgically assisted rapid palatal expansion (SARPE)
The concept of surgically assisted rapid maxillary expansion (SARME) was first proposed by Brown in 1938 (5), with the surgical technique outlined by Lines in 1975 (6). There are a number of surgical modifications, but overall it involves a Le Fort 1 osteotomy without down fracture of the maxilla alongside splitting some or all of the mid-palatal suture with or without release of zygomaticomaxillary buttress and/or pterygomaxillary articulations. Bony expansion of the maxilla is facilitated through use of either a tooth-borne or bone-borne expander appliance (7,8).
SARPE is a form of distraction osteogenesis and follows a similar protocol. There is a latency period of 5–7 days prior to force application. The active phase involves expansion of ≥0.5 mm per day until the desired amount of expansion is achieved (9). The expansion device is left in situ for a period of three to 6 months to allow bony consolidation (10,11).
Whilst this procedure is considered to have low morbidity, a systematic review in 2020, included 12 studies with a total of 851 SARPE patients (12). The incidence of complications was 21.97%, with 78.87% deemed minor withepitaxis and post-operative pain being most commonlyreported. Asymmetric or inadequate expansion were the most documented major complications, requiring further surgical procedure to correct. The authors found that an expansion pattern of less than 0.5 mm per day increased the occurrence of orthodontic complications such as asymmetric expansion by 30.93% compared with 1.83%. The studies used to draw these conclusions were not of prospective design and did not have appropriate randomisation methods; the results should therefore be interpreted with caution particularly when such a significant difference is shown. Tooth related complications included buccal bone loss, tooth mobility, tooth discolouration and gingival recession. This study also highlighted that SARPE without pterygomaxillary disjunction (PMD) increased the occurrence of minor complications by 29.95% compared to 16.87%. However, surgeons often omit PMD from their surgical protocol due to increased risk of haemorrhage, maxillary necrosis, skull base fractures or even blindness (13,14). There is suggestion in the literature that SARPE without pterygomaxillary disconnection results in V-shaped transverse expansion of the maxilla, with more expansion anteriorly compared with posteriorly (2). A recent systematic review from 2024 identified increased posterior expansion in those that underwent PMD as part of the surgical procedure, which was statistically significant (15). In addition, there was reduced difference between anterior and posterior expansion in those that underwent PMD, indicating more parallel maxillary expansion.
Other reported complications with SARPE include tissue necrosis due to impingement of the expansion appliance on the palatal soft tissue, periodontal bone loss and recession of the anchor teeth or central incisors (16). Overall, this evidence suggests that SARPE mostly presents minor complications, although patients should be fully informed of all potential surgical risks.
Tooth-borne appliances
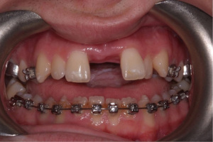
SARPE can be carried out with a tooth-borne appliance such as a conventional RME appliance with a Hyrax screw or Haas type expander (2). The RME appliance can be bonded or banded to the posterior teeth in the maxilla and is fitted intra-orally by an orthodontist prior to surgery. Following the osteotomy the RME appliance is activated in line with the aforementioned distraction protocol (Figures 2,3).
In both RME and SARPE the force applied is lower than the centre of resistance of both the anchor teeth and the maxillary halves leading to segmental tipping. A recent systematic review attributes the immediate changes to primarily be dento-alveolar reporting mean skeletal and inter-molar width changes as 3.3 and 7.0 mm respectively (17). However, greater relapse of the dental expansion is expected in the post-operative phase (10). Both the amount of expansion achieved and the level of relapse is greatest posteriorly at the molars and reduces anteriorly (18). Given the expected relapse, a standard protocol of 2–3 mm over-expansion has been proposed as well as the use of a post expansion retention device such as a trans-palatal arch (10).
Bone borne appliances
Bone borne expanders were first introduced by Mommaerts to overcome the side effects of a tooth borne expander. The transpalatal distractor obtains fixation directly on the palatal bone, which is thought to result in more skeletal and less dental effects, due to the expansion force being directed through the palatal bone rather than the teeth. The surgical technique involves transection of the anterior, lateral and median bony articulations of the maxilla followed by the insertion of titanium abutment plates (8). These are attached to a telescopic distractor that is fitted between the plates. The distractor is maintained to retain the expansion during bone consolidation similar to the tooth borne technique and other distraction procedures. However, with a bone borne appliance, orthodontic treatment may be initiated without a need to change to another form of rigid retention.
Several advantages have been proposed for this technique over tooth-borne appliances. There is less segmental tipping of the buccal halves (17) and reduced dentoalveolar complications including cortical fenestration, root resorption or periodontal membrane compression of the teeth (8).
There is conflicting evidence whether bone borne distraction obtains greater skeletal expansion than tooth borne SARPE. A systematic review by Blæhr et al. in 2019, which included two randomised controlled trials, reported no statistically significant differences in skeletal or dental arch expansion and relapse when comparing tooth-borne with bone borne SARPE (19). Despite these findings, the results should be interpreted with caution due to the considerable heterogeneity and variations with outcome measurements, hence a meta-analysis could not be performed. A more recent systematic review and meta-analysis, which included five studies (249 patients), four of which were randomised controlled trials, also concluded there was no statistically significant difference in skeletal expansion between the two approaches (20). There was a mean difference for skeletal expansion at molar level of 0.16 and −0.29 between bone-borne and tooth-borne techniques respectively, which was not statistically significant. There is consensus in the literature of comparable expansion at tooth-level between the two techniques, however some studies have shown increased tipping of the buccal segments with tooth-borne SARPE (21,22). The evidence is quite conflicting with studies that have found comparable tipping of the maxillary segments with both interventions (23,24). To summarise, both techniques offer similar level of expansion and can result tipping of the alveolar segments. It is important to consider that bone-borne distractors are more invasive and technique sensitive during placement and removal.
A summary outlining the relative indications, benefits, risks and outcomes of SARPE is provided in Table 2.
Table 2
| Methods | Indications | Advantages | Risks | Outcomes |
|---|---|---|---|---|
| SARME—tooth borne & bone borne | • >6–7 mm transverse maxillary discrepancy • Skeletally mature |
General: • Improvement of periodontal health • Elimination of buccal corridors • Minimise need for dental extractions |
General: • Surgical morbidity • Asymmetry and relapse if osteotomy incomplete |
• Dentoalveolar expansion: 4–8 mm • Skeletal expansion: 2–4 mm • Stability: 20–30% relapse risk No statistically significant difference between amount of expansion and relapse differences |
| Tooth borne: • Familiar workflow for surgeons/orthodontists • Good absolute expansion can be achieved |
Tooth-borne: • Dental tipping • Alveolar bone loss & dehiscence • Gingival recession • Compromise of periodontal tissues |
|||
| Bone borne: • Greater transmission of force to maxillary bone • Reduced segmental tipping of the buccal halves & reduced dental tipping • Reduced risk of root resorption and compression of periodontal ligament • Reduced risk of cortical fenestration |
Bone borne: • Technique sensitive • Further procedure under general anaesthetic to remove midline screw • Unsuitable in V-shaped narrow palates |
|||
| SAMARPE | • Late adolescents & adults with reduced transverse requirements• Partially fused sutures identified through CBCT | • Less invasive (not a full osteotomy) • Can avoid general anaesthetic and performed under sedation in many cases • Can achieve significant skeletal opening in the short-term • Reduced dental tipping compared with conventional tooth-borne SARPE as miniscrews acts as skeletal anchorage |
• Loosening or complete failure of mini-screw • Mucosal irritation• Inflammation around implant site • Root proximity if inaccurate placement • Incomplete suture opening, which then loads the teeth causing relapse/tipping • Success is both technique and appropriate patient-selection dependent |
• Dental: increased dental widening when suture partially resists opening & further loading of the teeth • Skeletal: with successful sutural opening results often comparable with SARPE ranging between 2 and 4 mm • Stability: favourable when true skeletal opening achieved and retention used. Insufficient evidence in literature to provide quantitative amount |
| Le Fort I segmental osteotomy | • Modest defects (up to 6–7 mm) • Transverse correction is required concurrently with vertical or sagittal defects |
• Allows more precise skeletal expansion• Reduced dental tipping • Rigid fixation allows for more control over segment placement |
• Increased surgical morbidity compared with distraction techniques • Root/interdental injury • Periodontal defects between segments • Segment ischaemia (although rare) • Oral fistula • Increased operative time |
• Exact numeric skeletal gain is dependent on planned movement, rather than appliance limits • Dental arch width changes are minimal and secondary to bony changes • Good skeletal stability when rigid fixation used • Often see posterior dental relapse reported between 20% and 50% dentoalveolar relapse (ranges between 1 and 3 mm) |
CBCT, cone-beam computed tomography; SAMARPE, surgically assisted mini-implant anchored rapid palatal expansion; SARME, surgically assisted rapid maxillary expansion; SARPE, surgically assisted rapid palatal expansion.
Surgically assisted mini-implant anchored rapid palatal expansion (SAMARPE)
SAMARPE is a novel technique that involves the fabrication of a custom-made expansion appliance which is anchored to the palate using mini-implants (Figure 4). The expansion appliance can be bone-borne or tooth-borne and usually consists of a midline expansion screw with four bicortical mini-screws (two in the anterior maxilla and two in the posterior maxilla (25). Following insertion of this appliance a maxillary osteotomy is undertaken followed by a latency period and activation period until the desired expansion is achieved (26).
A prospective proof-of-concept study published in 2022 assessed the use of minimally invasive surgical and miniscrew assisted rapid palatal expansion (MISMARPE) in eleven adult patients with a mean age of 38.89 years (26). This study evaluated the maxillary expansion, operative time and pain associated with this technique. The patients underwent CBCT prior to expansion and at the end of the activation period. Fabrication of the bone borne expander was through a digital workflow utilising CBCT and intra-oral scans to plan position and lengths of the mini-screws. The miniscrew-assisted rapid palatal expansion (MARPE) expander was positioned using surgical guides and attached with four bicortical miniscrews. The patients underwent minimally invasive maxillary osteotomies carried out by one operator under local anaesthesia and sedation. This included a subspinal osteotomy to separate the anterior nasal spine, a vertical midline osteotomy extending between the central incisor roots to the nasal floor and two lateral horizontal osteotomies extending from the piriform aperture to the posterior maxilla on each side. The mean operative time was 24.11 minutes with a range of 14.4–32 minutes. The expander was activated to check separation of the midline. Following a seven-day latency period, the MARPE expander was activated with two turns per day until an interincisal diastema appearance, followed by one turn per day until a diastema formed between the upper central incisors and a reduced rate of one turn per day until the desired expansion was achieved. The mean activation period was 24.36 days (range, 20–31 days).
A Visual Analogue Scale (VAS) was used to assess patient reported pain during the latency and activation periods with a classification of mild (1–3), moderate (4–6) or severe pain (7–10). During activation phase (day 7 until end of activation) the mean VAS score was 3.25, with a lower score of 1 during the seven days post operatively. Interestingly, the highest mean recorded was for day 8 correlating with 24-hour of active expansion, with consistent reduction in pain scores from there. Maxillary expansion was assessed with the superimposition of pre-and post-treatment CBCTs and the authors reported statistically significant maxillary expansion averaging 3.7 mm anteriorly and 3.4 mm posteriorly with greater expansion achieved at the alveolar level anteriorly (4.4 mm) than posteriorly (3.2 mm). Expansion at the mid-palatal suture was in a V-shaped pattern with greater expansion anteriorly (2.7 mm) than posteriorly (1.8 mm). The absence of PMD in the osteotomy may have contributed to this type of expansion (27). The authors of this study concluded that this technique has potential to be used for maxillary expansion in adults, predominantly in cases with narrow anterior maxillary arch. However, given the small sample size, larger comparative studies are needed to assess stability and long-term effects (26).
A preliminary comparative study investigated the effects of SARPE and MISMARPE on the correction of transverse maxillary deficiency (28). This study assessed 22 adult patients who were divided equally into two groups; 11 underwent SARPE with mean age 28.3 years and the other 11 underwent MISMARPE with mean age of 37.7 years. The SARPE groups had a tooth borne Hyrax appliance fitted prior to a maxillary osteotomy to release the zygomatic buttress and pterygoid process under general anaesthesia. After a 7-day latency period the expansion screw was activated with one quarter-turn every 12 hours until the desired expansion was achieved. In the MISMARPE group, expansion was carried out with a bone-borne expander with four bicortical palatal mini-screws. A minimally invasive maxillary osteotomy was undertaken under local anaesthesia with no PMD. After a seven-day latency period the expansion screw was activated one quarter turn every 12 hours until an interincisal diastema appeared followed by one quarter turn every 24 hours until the posterior crossbite was corrected. Pre- and post-treatment CBCTs were used to assess the maxillary expansion across various anterior and posterior landmarks on the maxilla. In this study there was a significant difference between the amount of expansion achieved with MISMARPE compared to SARPE at the level of the nasal cavity anteriorly and posteriorly (P<0.001) and the posterior intermaxillary distance (P=0.001). The authors found that SARPE exerted a significant effect on two anterior and four posterior measurements whereas MISMARPE caused significant changes in all linear measurements assessed. In addition, expansion in the patients treated with MISMARPE was more parallel in contrast to the inverted V-shaped expansion seen in the SARPE group. It is important to note that this may have been due to the use of skeletal anchorage with MISMARPE which applies greater forces to the bone pillars resulting in more evenly distributed force application. Overall, the authors concluded that SARPE and MARPE produce similar skeletal changes however there are significantly greater changes in the nasal fossa and intermaxillary distance with MISMARPE compared to SARPE (28).
In conclusion, the literature on this technique is limited and thus far, no randomised clinical trials have been published. The relative indications, benefits, risks and outcomes are summarised (Table 2). The evidence suggests promising results, but more robust research is needed to increase the evidence base on the stability and long-term effects of this treatment modality.
Le Fort I segmental osteotomy with expansion
Segmental Le Fort I osteotomy or multi segment Le Fort I surgery is a well-established method of correcting maxillary transverse discrepancies in skeletally mature patients. It involves splitting the maxilla into two or more parts (if anterior or posterior vertical changes are also required) repositioning them and fixating with plates into a new position. This option is particularly favoured for more modest transverse defects (up to 6–7 mm) and when maxillary osteotomy is required to address sagittal and/or vertical discrepancies (29,30). A multi-piece Le Fort I osteotomy allows for more parallel transverse expansion of the maxilla, compared with a two-piece Le Fort I osteotomy which expands in a hinge-like motion with greater transverse expansion posteriorly (31).
The surgical technique consists of lateral maxillary osteotomies from the piriform aperture to the zygomatic buttress with separation along the septum, lateral nasal walls and pterygomaxillary fissure, with complete downfracture of the maxilla. The multipiece osteotomy is performed between the central incisors for a 2-piece procedure or between the canines and first premolars for a 3-piece Le Fort I segmental procedure. The amount of maxillary transverse expansion is guided by the intra-operative surgical wafer. Stabilisation of the segments is achieved through rigid fixation with placement of four titanium plates.
This procedure allows skeletal correction in one stage reducing the morbidity associated with a two-stage technique as with SARPE. One study evaluated the stability of maxillary expansion using CBCT after segmental Le Fort 1 osteotomy (32). They recorded both skeletal changes from greater palatine intercanal width (posterior) and piriform base width (anterior) and dental changes from intermolar and intercanine widths. They found that there was 2.55 mm skeletal expansion and 1.83 mm of dental expansion after segmental maxillary osteotomy. The authors found a 26.3% skeletal relapse rate with this technique over approximately 12 months, which equated to a decrease of 1.41 and 0.67 mm in dental and skeletal widths respectively (32). Similar findings were reported by another CBCT study by Yao et al. in 2015 (33). This study compared tooth-borne SARPE (n=4) and segmental osteotomy (n=9) with a 6-month follow-up. A 26% skeletal relapse rate in the segmental osteotomy group was found, with 3.43 [standard deviation (SD) 1.24] mm and 1.94 (SD 0.93) mm of overall posterior and anterior skeletal expansion respectively. The SARPE group showed 2.25 (SD 1.79) mm and 0.5 (SD 0.24) mm of anterior and posterior expansion and had significantly greater posterior dental expansion (10±1.40 mm) compared with the segmental osteotomy group (2.17±0.90 mm). The dental relapse rates between the two methods were not statistically significant. This study showed reduced dental relapse following segmental osteotomy 37.9% (at molar region) compared with the Kim et al.’s CBCT study (32), which found a 77.0% relapse rate. The reported average in the literature ranges between 20% and 50% of dental relapse (29,30,34).
SARPE is generally preferred for larger transverse discrepancies and can result in greater absolute maxillary expansion. However, it comes with more dentoalveolar effects, with tipping of the buccal segments as compared with segmental maxillary osteotomy. CBCT studies show higher dental vs skeletal changes with SARPE. Segmental Le fort I procedures have shown more bodily movement of the maxillary segments. The stability of both techniques has been compared in a 2-year follow-up study by Marchetti et al., which assessed pre- and post-treatment study models (30). This showed greater increase in intercanine and intermolar distances within the SARPE group, but reduced relapse in the Le Fort I bi-partition group compared with SARPE. A relapse rate of 36% and 28% in intermolar and intercanine distance respectively was documented in the SARPE group compared with 20% intermolar and 25% intercanine distance relapse for the Le Fort I bipartition group. This does uggest more stable long-term results with Le Fort I segmental osteotomy, although we should be mindful of the limitations of this study, with a small sample size (10 patients per group) and retrospective assessment of study models. Further CBCT based studies with longer follow-up are required to compare both techniques in greater detail.
Segmentation of the maxilla does increase the risk of dental injury and oro-nasal fistula compared to one part Le Fort I osteotomy. Operator experience and technologies, such as piezoelectric surgery, can reduce the risk of complications by minimising soft tissue damage and enhancing the precision of the osteotomy (34). Furthermore, careful planning and execution in the pre-surgical orthodontic phase is required to ensure adequate space for the osteotomy cuts either through extractions and/or careful mechanics ensuring adequate root divergence (35). To mitigate potential stability issues, it is important to ensure sufficient rigid fixation and avoid down-grafting posterior segments as this has the least vertical stability even with grafting (36). In addition, it is prudent to avoid over-expansion with pre-surgical orthodontic treatment and ensure robust retention regime following removal of fixed appliances.
In summary, there is evidence suggesting favourable skeletal stability with segmental Le Fort I, but there is an increased risk of dental relapse particularly posteriorly. Table 2 outlines the indications, benefits, risks and outcomes associated with this well established surgical technique.
Stability
An adequate transverse maxillary dimension is an essential component of a stable and functional occlusion (37). Unfortunately, much of the evidence on stability of surgical expansion are based on retrospective case studies which may be susceptible to bias and a lack of standardisation. There are variations in the orthodontic work up, surgical operator experience and technique, fixation method and post-surgical management. Direct comparison between the different techniques is difficult due to many confounding variables which will have direct influence on the outcome measurements. The way that stability is measured also varies with differences in follow-up periods, outcomes and assessment methods.
Despite these limitations several factors have been identified as relevant to the stability of orthognathic surgery. These include the direction and type of surgical movement, magnitude of movement, change in ramus inclination, condylar repositioning, fixation method and neuromuscular and condylar changes (38).
Direct comparison of dental or surgical expansion and relapse between methods of surgical expansion such as Le Fort I segmental osteotomies and SARPE, is difficult owing to the inherent differences in the indications and suitability for selecting one procedure over the other (31,33).
The literature indicates that Segmental Le Fort I osteotomy has improved skeletal stability compared with SAMARPE and SARPE. The differences are small, with large heterogeneity between studies. The stability of the expansion achieved with segmental osteotomy procedure can be challenging to maintain in the long-term, in part due to the stretch of the palatal soft tissues. The tissue elasticity provides a force to decrease the expansion post-surgically (39). Relapse is greatest posteriorly at the second molars, 49% reducing to 30% at the first premolars within 2-year follow-up (30). Although a two-segment osteotomy may be more stable anteriorly than a three-segment procedure, there are similar levels of relapse posteriorly (31). Methods to limit relapse in segmental Le Fort I osteotomies include splinting with a heavy surgical arch bar, ligating the wafer to the upper dentition and midline grafting with bone or autogenous blocks but the evidence base for these approaches is limited, requiring long-term randomised studies to verify these techniques (35,36,40).
The landmark study on the hierarchy of stability in orthognathic procedures by Proffit ascribed poor long-term stability of surgical procedures used to widen the maxilla (38). This is in contrast to an overview of systematic reviews which found that posterior maxillary expansion with rigid fixation ranged from ‘highly stable’ to ‘stable’ at skeletal level with reported levels of posterior skeletal relapse between 13.72% and 25.1% (41). The review categorised stability according to highly stable (relapse rate between 0% and 24%) and stable (25–49% relapse). The disparity in findings between the Profitt paper and the systematic review may be due to variations in the assessment of transverse changes as Proffit utilised lateral radiographs whereas more recent papers have used study models and CBCT. A systematic review on stability of Le Fort I segmental osteotomy found higher dental relapse posteriorly (1–3 mm) compared with anteriorly (0.2–0.9 mm) (36). A systematic review comparing Le Fort I segmental osteotomy and SARPE, which included two-primary level studies, showed that there is far greater dental arch expansion with SARPE compared with Le Fort I segmental osteotomy with more pronounced relapse of the dental width of the maxilla in the tooth borne SARPE group (31).
Systematic reviews have found no consistent differences between absolute expansion with tooth-borne and bone-borne SARPE (19). Some primary level studies have found differences with bone-borne SARPE producing less dental tipping and more of a parallel expansion pattern. Relapse at tooth level has been reported between 4% and 35% anteriorly and up to 49% in molar region with tooth-borne SARPE (20). This is much lower than segmental osteotomy. Bone borne SARPE showed up to 21% relapse anteriorly and between 4.6% and 11.5% posteriorly. Skeletal relapse rates were similar between both types of SARPE ranging from 11–53% and 41.6% in tooth borne and bone borne SARPE respectively. This is comparative with relapse reported with segmental osteotomy. However, the 19 of the 23 studies included had methodological flaws and a high risk of bias.
As a result, overcorrection can be planned, when managing significant posterior crossbites which has shown to be successful with SARPE with correction maintained at 6 years post-surgery (42). Overcorrection of ‘half a cusp’ width alongside maintenance of an auxiliary arch is a standard part of the protocol. Prolonged retention and overcorrection has been advised to attempt to reduce skeletal relapse (43).
The stabilisation period following SARPE may influence the transverse stability in the long-term. Studies which have used a 6-month compared with 3-month stabilisation period, which have shown less relapse (10). With regards to retention, some authors have suggested a period of 2–12 months after expansion to prevent relapse after SARPE (44). In contrast, two randomised controlled trials assessed the influence of retention with a transpalatal arch on the stability of SARPE (45,46). Both of these studies compared the use of a transpalatal arch with no retention over a 10-month period and found no statistically significant difference in stability between the two groups. A systematic review on the stability of SARPE (47) found that this method can achieve an increase of 4–7 mm at inter-canine level, 6–9 mm at intermolar level and 2–3 mm skeletally. The relapse rates were reported between 18% and 22% and 19% for dentoalveolar and skeletal expansion respectively. This review also concluded no differences between distractor type or retention devices and to consider 20–30% of over expansion to account for potential relapse, although this may not be necessary in bone-borne SARPE. The review confirmed the need for further high quality prospective randomised controlled trials to fully investigate the stability of SARPE as the existing studies have a high risk of bias or are of lower quality.
Conclusions
The aim of combined orthognathic-orthodontic treatment is to obtain a healthy, functional and stable occlusion placed with appropriate facial proportions and balance. Successful and stable treatment depends on appropriate diagnosis, careful planning and execution of the treatment plan as part of a multi-disciplinary team.
Assessment of transverse requirements should not be underestimated. The amount of expansion required should be quantified and the appropriate method of expansion chosen based on the clinical circumstance that maximises the aesthetic and functional outcome as well as the stability.
This review paper has summarised the evidence base for surgical approaches of maxillary expansion and how this may be achieved. The literature suggests that SARPE does provide greater overall expansion when compared with segmental Le Fort I and SAMARPE, but there is greater relapse following SARPE in the longer term. CBCT based studies, have shown that segmental Le Fort I produces more skeletal expansion and less dental tipping. The evidence regarding the novel SAMARPE technique is promising and has shown that it is a viable alternative to other surgical modalities. However, it is important to recognise that the current evidence base finds good short to mid treatment stability but there are no truly long-term follow-up studies. Further high-quality research into this technique is essential to fully understand the long-term stability and directly compare with SARPE and segmental Le Fort I osteotomy. Our conclusions must be viewed within the context of the limitations inherent to narrative reviews and further systematic reviews and randomised controlled trials to are needed to strengthen the current evidence base.
Acknowledgments
None.
Footnote
Reporting Checklist: The authors have completed the Narrative Review reporting checklist. Available at https://fomm.amegroups.com/article/view/10.21037/fomm-25-11/rc
Peer Review File: Available at https://fomm.amegroups.com/article/view/10.21037/fomm-25-11/prf
Funding: None.
Conflicts of Interest: All authors have completed the ICMJE uniform disclosure form (available at https://fomm.amegroups.com/article/view/10.21037/fomm-25-11/coif). The authors have no conflicts of interest to declare.
Ethical Statement: The authors are accountable for all aspects of the work in ensuring that questions related to the accuracy or integrity of any part of the work are appropriately investigated and resolved. All clinical procedures described in this study were performed in accordance with the ethical standards of the institutional and/or national research committee(s) and with the Declaration of Helsinki and its subsequent amendments. Written informed consent was obtained from the patients for the publication of this article and accompanying images. A copy of the written consent is available for review by the editorial office of this journal.
Open Access Statement: This is an Open Access article distributed in accordance with the Creative Commons Attribution-NonCommercial-NoDerivs 4.0 International License (CC BY-NC-ND 4.0), which permits the non-commercial replication and distribution of the article with the strict proviso that no changes or edits are made and the original work is properly cited (including links to both the formal publication through the relevant DOI and the license). See: https://creativecommons.org/licenses/by-nc-nd/4.0/.
References
- Woods M, Wiesenfeld D, Probert T. Surgically-assisted maxillary expansion. Aust Dent J 1997;42:38-42. [Crossref] [PubMed]
- Koudstaal MJ, Poort LJ, van der Wal KG, et al. Surgically assisted rapid maxillary expansion (SARME): a review of the literature. Int J Oral Maxillofac Surg 2005;34:709-14. [Crossref] [PubMed]
- Suri L, Taneja P. Surgically assisted rapid palatal expansion: a literature review. Am J Orthod Dentofacial Orthop 2008;133:290-302. [Crossref] [PubMed]
- Smeets M, Da Costa O Senior, Eman S, et al. A retrospective analysis of the complication rate after SARPE in 111 cases, and its relationship to patient age at surgery. J Craniomaxillofac Surg 2020;48:467-71. [Crossref] [PubMed]
- Brown GV. The surgery of oral and facial diseases and malformations: Their diagnosis and treatment including plastic surgical reconstruction. London: Kimpton; 1938:507.
- Lines PA. Adult rapid maxillary expansion with corticotomy. Am J Orthod 1975;67:44-56. [Crossref] [PubMed]
- Menon S, Manerikar R, Sinha R. Surgical management of transverse maxillary deficiency in adults. J Maxillofac Oral Surg 2010;9:241-6. [Crossref] [PubMed]
- Mommaerts MY. Transpalatal distraction as a method of maxillary expansion. Br J Oral Maxillofac Surg 1999;37:268-72. [Crossref] [PubMed]
- Betts NJ, Vanarsdall RL, Barber HD, et al. Diagnosis and treatment of transverse maxillary deficiency. Int J Adult Orthodon Orthognath Surg 1995;10:75-96.
- Chamberland S, Proffit WR. Closer look at the stability of surgically assisted rapid palatal expansion. J Oral Maxillofac Surg 2008;66:1895-900. [Crossref] [PubMed]
- Byloff FK, Mossaz CF. Skeletal and dental changes following surgically assisted rapid palatal expansion. Eur J Orthod 2004;26:403-9. [Crossref] [PubMed]
- Carvalho PHA, Moura LB, Trento GS, et al. Surgically assisted rapid maxillary expansion: a systematic review of complications. Int J Oral Maxillofac Surg 2020;49:325-32. [Crossref] [PubMed]
- Politis C. Life-threatening haemorrhage after 750 Le Fort I osteotomies and 376 SARPE procedures. Int J Oral Maxillofac Surg 2012;41:702-8. [Crossref] [PubMed]
- Lo LJ, Hung KF, Chen YR. Blindness as a complication of Le Fort I osteotomy for maxillary distraction. Plast Reconstr Surg 2002;109:688-98; discussion 699-700. [Crossref] [PubMed]
- Chen KY, Yang CY, Fan CN, et al. The effects of pterygomaxillary disjunction in surgically assisted rapid maxillary expansion: A systematic review and meta-analysis. Orthod Craniofac Res 2024;27:750-7. [Crossref] [PubMed]
- Williams BJ, Currimbhoy S, Silva A, et al. Complications following surgically assisted rapid palatal expansion: a retrospective cohort study. J Oral Maxillofac Surg 2012;70:2394-402. [Crossref] [PubMed]
- Bortolotti F, Solidoro L, Bartolucci ML, et al. Skeletal and dental effects of surgically assisted rapid palatal expansion: a systematic review of randomized controlled trials. Eur J Orthod 2020;42:434-40. [Crossref] [PubMed]
- Lagravère MO, Major PW, Flores-Mir C. Dental and skeletal changes following surgically assisted rapid maxillary expansion. Int J Oral Maxillofac Surg 2006;35:481-7. [Crossref] [PubMed]
- Blæhr TL, Mommaerts MY, Kjellerup AD, et al. Surgically assisted rapid maxillary expansion with bone-borne versus tooth-borne distraction appliances-a systematic review. Int J Oral Maxillofac Surg 2019;48:492-501. [Crossref] [PubMed]
- Kanwal L, Qabool H, Idrees W, et al. Skeletal and dental changes after bone-borne versus tooth-borne surgically assisted rapid palatal expansion in subjects with maxillary transverse deficiency: A systematic review and meta-analysis. Dent Med Probl 2025;62:333-41. [Crossref] [PubMed]
- Landes CA, Laudemann K, Schübel F, et al. Comparison of tooth- and bone-borne devices in surgically assisted rapid maxillary expansion by three-dimensional computed tomography monitoring: transverse dental and skeletal maxillary expansion, segmental inclination, dental tipping, and vestibular bone resorption. J Craniofac Surg 2009;20:1132-41. [Crossref] [PubMed]
- Lin L, Ahn HW, Kim SJ, et al. Tooth-borne vs bone-borne rapid maxillary expanders in late adolescence. Angle Orthod 2015;85:253-62. [Crossref] [PubMed]
- Hamedi-Sangsari A, Chinipardaz Z, Carrasco L. Following Surgically Assisted Rapid Palatal Expansion, Do Tooth-Borne or Bone-Borne Appliances Provide More Skeletal Expansion and Dental Expansion? J Oral Maxillofac Surg 2017;75:2211-22. [Crossref] [PubMed]
- Koudstaal MJ, Wolvius EB, Schulten AJ, et al. Stability, tipping and relapse of bone-borne versus tooth-borne surgically assisted rapid maxillary expansion; a prospective randomized patient trial. Int J Oral Maxillofac Surg 2009;38:308-15. [Crossref] [PubMed]
- Haas Júnior OL, Matje PRB, Rosa BMD, et al. MISMARPE protocol: minimally invasive surgical and miniscrew-assisted rapid palatal expansion. Dental Press J Orthod 2024;29:e24spe3.
- Haas OL Junior, Matje PRB, Rosa BM, et al. Minimally invasive surgical and miniscrew-assisted rapid palatal expansion (MISMARPE) in adult patients. J Craniomaxillofac Surg 2022;50:211-7. [Crossref] [PubMed]
- Verstraaten J, Kuijpers-Jagtman AM, Mommaerts MY, et al. A systematic review of the effects of bone-borne surgical assisted rapid maxillary expansion. J Craniomaxillofac Surg 2010;38:166-74. [Crossref] [PubMed]
- da Silva AV, da Rosa BM, Matje PRB, et al. Effects of SARPE and MISMARPE on correction of transverse maxillary deficiency: A preliminary comparative evaluation. Orthod Craniofac Res 2024;27:332-8. [Crossref] [PubMed]
- Phillips C, Medland WH, Fields HW Jr, et al. Stability of surgical maxillary expansion. Int J Adult Orthodon Orthognath Surg 1992;7:139-46.
- Marchetti C, Pironi M, Bianchi A, et al. Surgically assisted rapid palatal expansion vs. segmental Le Fort I osteotomy: transverse stability over a 2-year period. J Craniomaxillofac Surg 2009;37:74-8. [Crossref] [PubMed]
- Starch-Jensen T, Blæhr TL. Transverse Expansion and Stability after Segmental Le Fort I Osteotomy versus Surgically Assisted Rapid Maxillary Expansion: a Systematic Review. J Oral Maxillofac Res 2016;7:e1. [Crossref] [PubMed]
- Kim H, Cha KS. Evaluation of the stability of maxillary expansion using cone-beam computed tomography after segmental Le Fort I osteotomy in adult patients with skeletal Class III malocclusion. Korean J Orthod 2018;48:63-70. [Crossref] [PubMed]
- Yao W, Bekmezian S, Hardy D, et al. Cone-beam computed tomographic comparison of surgically assisted rapid palatal expansion and multipiece Le Fort I osteotomy. J Oral Maxillofac Surg 2015;73:499-508. [Crossref] [PubMed]
- Thereza-Bussolaro C, Galván Galván J, Pachêco-Pereira C, et al. Maxillary osteotomy complications in piezoelectric surgery compared to conventional surgical techniques: a systematic review. Int J Oral Maxillofac Surg 2019;48:720-31. [Crossref] [PubMed]
- Ho MW, Boyle MA, Cooper JC, et al. Surgical complications of segmental Le Fort I osteotomy. Br J Oral Maxillofac Surg 2011;49:562-6. [Crossref] [PubMed]
- Haas OL Junior, Guijarro-Martínez R, de Sousa Gil AP, et al. Stability and surgical complications in segmental Le Fort I osteotomy: a systematic review. Int J Oral Maxillofac Surg 2017;46:1071-87. [Crossref] [PubMed]
- Mubeen S, Shah DK, Cronin AJ, et al. Non-surgical management of maxillary transverse discrepancies in the orthognathic patient: a review. Front Oral Maxillofac Med 2025;7:3.
- Proffit WR, Turvey TA, Phillips C. The hierarchy of stability and predictability in orthognathic surgery with rigid fixation: an update and extension. Head Face Med 2007;3:21. [Crossref] [PubMed]
- Ayliffe PR, Banks P, Martin IC. Stability of the Le Fort I osteotomy in patients with cleft lip and palate. Int J Oral Maxillofac Surg 1995;24:201-7. [Crossref] [PubMed]
- De Backer T, Mommaerts MY, Abeloos JVS, et al. Long term stability of maxillary expansion by a Le Fort 1 osteotomy with midline split. J Craniomaxillofac Surg 1996;24:132.
- Haas OL Junior, Guijarro-Martínez R, de Sousa Gil AP, et al. Hierarchy of surgical stability in orthognathic surgery: overview of systematic reviews. Int J Oral Maxillofac Surg 2019;48:1415-33. [Crossref] [PubMed]
- Magnusson A, Bjerklin K, Nilsson P, et al. Surgically assisted rapid maxillary expansion: long-term stability. Eur J Orthod 2009;31:142-9. [Crossref] [PubMed]
- Shetty SK, Yethadka M, Madhur V. Surgically assisted rapid palatal expansion (SARPE): a literature review. Sch J Dent Sci 2021;8:25-40.
- Neyt NM, Mommaerts MY, Abeloos JV, et al. Problems, obstacles and complications with transpalatal distraction in non-congenital deformities. J Craniomaxillofac Surg 2002;30:139-43. [Crossref] [PubMed]
- Aloise AC, Pereira MD, Hino CT, et al. Stability of the transverse dimension of the maxilla after surgically assisted rapid expansion. J Craniofac Surg 2007;18:860-5. [Crossref] [PubMed]
- Prado GP, Furtado F, Aloise AC, et al. Stability of surgically assisted rapid palatal expansion with and without retention analyzed by 3-dimensional imaging. Am J Orthod Dentofacial Orthop 2014;145:610-6. [Crossref] [PubMed]
- Gogna N, Johal AS, Sharma PK. The stability of surgically assisted rapid maxillary expansion (SARME): A systematic review. J Craniomaxillofac Surg 2020;48:845-52. [Crossref] [PubMed]
Cite this article as: Johnson King O, Jones F, Sharma PK. Surgical management of maxillary transverse discrepancies in the orthognathic patient: a narrative review. Front Oral Maxillofac Med 2026;8:3.
