眼周基底细胞癌的替代治疗选择:叙述性综述
引言
眼睑基底细胞癌(BCC)是最常见的人类眼部癌症,主要位于下眼睑。它是非黑色素瘤皮肤癌的一种亚型,由于人口老龄化和广泛的日晒,其发病率不断增加。眼睑是眼睛的一个特别重要的部分,有两大功能,保护眼球和泪液的分泌、分布和引流。治疗眼睑BCC的金标准是显微控制性手术,能够完全切除肿瘤。但某些情况不适宜手术治疗,例如晚期BCC、转移性疾病或复发。根据德国国家指南,晚期BCC是一种需要跨学科治疗的肿瘤,因其范围较大以及破坏性生长的特性使其治疗存在困难。此外,手术有降低视力的风险以及患者不愿进行手术的情况,也可选择替代疗法。眼睑重建困难以及当肿瘤很接近眼球时保留眼球困难时,手术治疗具有局限性。在极少数情况下,复发风险低的小的BCC也可以使用替代治疗方案[1,2]。
BCC的替代治疗方案可分为3组(表1):(1)局部进展期或转移性BCC的系统治疗或放射治疗;(2)BCC肿瘤厚度<2 mm 和低复发风险的手术或局部治疗;(3)BCC患者辅助预防复发药物。
Full table
第一组是局部进展期或转移性BCC患者。其另一种治疗方法为放射治疗或系统治疗。目前多个国家指南建议通过跨学科肿瘤委员会讨论决定治疗方案,因为在肿瘤委员会中,可以很好地检查患者的个体情况,并可以详细说明有关治疗方案的优劣。手术或部分手术结合放射治疗或系统治疗可能是治疗疑难病例的合适方法。最终的治疗方案取决于治疗机构资质。
第二组由BCC肿瘤厚度< 2 mm 且复发风险低的患者组成。复发风险增加的因素包括眶周肿瘤水平直径超过 6 mm、难以界定的局限性、局部复发、组织学亚型(如浸润性、超典型或微结节生长)、受照射皮肤上的肿瘤以及神经周围生长的肿瘤。本组患者复发风险低,适用于局部治疗选择,如咪喹莫特疗法(toll 样受体 7 和 8 激动剂)、有丝分裂抑制剂 5-氟尿嘧啶 (5-FU)、5-氨基乙酰丙酸 (5-ALA) 或氨基乙酰丙酸甲酯 (MAL) 的光动力疗法、冷冻疗法和激光疗法。此外,刮除术或切除术等半手术治疗方案是小基底细胞癌治疗概念的一部分。另一种局部治疗是使用铼 188 的 β 发射体同位素近距离放射治疗。目前已有一些具有前景的研究,通过将这种放射性糊剂直接涂在肿瘤上进行治疗,来实现临床肿瘤缓解和降低副作用[3]。此外,双氯芬酸是一种非甾体类抗炎药 (NSAID),它可能的作用机制是通过抑制环氧合酶 2 (COX2) 来干扰BCC。但由于缺乏循证数据,目前不推荐用于BCC的治疗。 总之,局部手术可用于复发风险低的小基底细胞癌,作为显微控制性手术的替代方法。然而,最终与手术相比,学者们对其的主要批评始终是缺乏完整切除的成功控制。因此,学者们建议优先为患者进行手术,尤其是在眼部区域。
第三组,有BCC病史或高复发风险的患者建议进行预防。烟酰胺是一种增强 DNA(脱氧核糖核酸)修复机制的物质,可用于有BCC病史的患者,而细胞周期抑制剂维甲酸类药物对BCC的复发预防没有显著效果,反而会产生各种副作用,例如头痛、肌肉萎缩疼痛和致畸性。与BCC的基础治疗一样,没有证据表明 COX2 抑制剂可用于预防复发[3,4]。我们根据叙述性审查报告清单呈现以下文章(https://fomm.amegroups.com/article/view/10.21037/fomm-21-19/rc)。
方法
针对2020年12月之前发表的论文,对BCC替代治疗方案相关的文献进行了结构化 PubMed 搜索,重点是眼睑BCC。搜索策略包括以下关键词:BCC、治疗、眼睑、眼周。为了进一步详细搜索特定治疗方案,关键词与特定治疗相匹配(例如hedgehog、放射、局部)。文章包括过去 15 年内的所有研究,因为专门针对眼周BCC的某些治疗的研究很少见。然而,本综述引用的文献中有 75% 是在 2015 年至 2020 年这 5 年内发表的。仅包括英语和德语文献(表2)。
Full table
替代治疗方案
系统疗法
Hedgehog抑制剂
BCC发病机制中的一个重要步骤是 Hedgehog 信号通路的激活,可以在 90% 以上的BCC中检测到。在临床试验中Hedgehog 信号通路调节发育、细胞增殖和组织修复[5],获批的 hedgehog 抑制剂 Vismodegib 和 Sonidegib 实现了超过 50% 的总体缓解率和>24 个月的中位缓解持续时间[6]。
基于 ERIVANCE 研究(Vismodegib 在晚期基底细胞癌中的疗效和安全性),Vismodegib(商品名 Erivedge®,Roche,Basel,Switzerland)已被批准用于不能手术、不可光束照射的BCC或转移性BCC(https://www.ema.europa.eu/en)。本研究共包括 71 例无法手术的局部进展期患者和33例转移性BCC患者[7,8],还包括被诊断为晚期BCC的GorlinGoltz 综合征患者。患者每天服用150 mg Vismodegib,直至发生肿瘤进展、药物导致毒副作用或患者终止研究。在30%的转移性BCC患者和 60% 的局部表现明显的患者中,肿瘤对治疗有反应。然而,也有明显的副作用(63% 的肌肉痉挛、61% 的脱发、54% 的味觉障碍、32% 的体重减轻、28% 的乏力、22% 的味觉丧失、17% 的腹泻、16% 的疲劳和 16% 的恶心)[9]。这些在很大程度上解释了治疗中断率高的原因。一年的数据证实了较好的治疗结果以及明显的副作用。对 Gorlin-Goltz 综合症的研究也取得了类似的成功[10]。进一步研究 Vismodegib 的作用和安全性(STEVIE,NICCI和 MIKIE 研究)显示了可比较的结果[11]。由于Hedgehog抑制剂的致畸作用,女性和男性必须在治疗期间和治疗后采取避孕措施。由于假定几乎每个BCC都具有与治疗相关的 Hedgehog 通路突变,因此在该化疗中没有特意制定停药标准。然而,主治医师应注意治疗的效果应始终超过对患者的副作用。
Sonidegib(商品名 Odomzo®,Sun Pharmaceutical,Mumbai,India)适用于治疗局部进展期BCC。它是在 BOLT 研究(在局部进展或转移性BCC患者中用2种不同剂量的 Sonidegib 治疗)的基础上获得批准的:不可手术治疗的局部BCC和转移性BCC患者分别接受 200 mg和 800 mg Sonidegib 治疗。研究显示在较低剂量下治疗效果更好(56%~45%)并伴有更少的副作用,因此委员会批准了每天 200 mg的方案。由于 hedgehog 通路信号在胚胎发生中发挥重要作用,因此在怀孕和哺乳期间禁用。它可能导致严重的出生缺陷或胎儿死亡[12]。转移病例由于对其反应低而未包括在适应证范围内[13-16]。据报道,其对Vismodegib有耐药性,尽管发生率似乎不是很高(例如,在 207 例患者的研究中<10%)。另一项研究表明,表现出对 Vismodegib 耐药的患者也可能表现出对 Sonidegib 的耐药性[17,18]。一般而言,关于使用hedgehog抑制剂的一个关键点是缺少成功控制的定义。在显微控制性手术中,R0 切除(完整切除)被定义为成功控制,但对于Vismodegib或其他人来说,它是临床表现,这可能会导致错误的结论。尽管在无法进行手术治疗的情况下,显微控制性手术仍然是首选治疗方法,但Sonic hedgehog抑制剂是一个不错的选择。目前在手术切除前使用Vismodegib的新辅助方法可以解决缺少成功控制的问题。在8 例BCC患者的病例系列中,2 例患者在接受 Vismodegib 治疗的中位持续时间为6个月,后组织学可见肿瘤完全消除。最终手术 R0 切除显示13个月后没有肿瘤复发[19]。
STEVIE 研究已经研究了 Vismodegib 在眼周BCC中的应用。患者队列包括244 例患有眼周局部进展期BCC(POLA-BCC)的参与者。该研究表明,在眼周使用 Vismodegib 显示出与非眼部BCC相当的副作用[20]。另一项针对 Vismodegib 眼周治疗进行的审查报告称,30% 的患者完全消退,其随访时间不到 5 个月。然而,需要进一步的随机对照试验来研究在眼周BCC中使用 Vismodegib 是否对局部肿瘤控制、生存或生活质量有影响[21]。图1和图2显示了用 Vismodegib 治疗前后的眼周基底细胞癌[22]。
此外,关于 Sonidegib 和 Vismodegib 的关键临床问题集中在它们的相对风险收益以及2种药物交换是否有效。在缺乏详细比较研究的情况下,Sonidegib 的药代动力学特征的临床相关性需要进一步研究以提供确凿的证据[23]。目前有新的方法将 Vismodegib 与使用 microRNAs (miRNAs) 测序的手术相结合进行新辅助治疗。最近的研究为MicroRNA 失调参与BCC发展提供了强有力的证据。然而,还需要进一步研究[24]。
免疫检查点抑制剂
免疫检查点抑制剂,尤其是程序性细胞死亡 1 (PD-1) 抗体,在过去 2~3 年中几乎彻底改变了癌症治疗。已有研究可以证明 PD-1 抗体在小细胞支气管细胞癌中的价值[25]。在治疗后的皮肤黑色素瘤中也看到了类似的成功[26,27]。
2018 年诺贝尔生理学或医学奖授予免疫检查点抑制剂,凸显了免疫检查点抑制剂的突破性成功。免疫检查点代表免疫系统的抗原屏障,避免免疫活性细胞检测人体自身细胞。癌细胞利用这种自身免疫保护功能在免疫系统面前保持不被发现。免疫检查点抑制剂可以克服这些抗原屏障,使具有免疫能力的细胞(例如 T 淋巴细胞)可以检测并对抗肿瘤细胞。当癌细胞中存在特别多的与肿瘤相关的突变时,效果特别显著,就像BCC的情况一样。各种病例报告显示 PD-1 抗体在局部或转移性BCC中取得了初步成功[28-32]。目前正在进行BCC中 PD-1 抗体 Cemiplimab 的批准研究(REGN2810;NCT-No.03132636),我们期待其数据。在这里,同样,在术前新辅助或术后辅助治疗中应用于眶周区域,效果也是令人振奋的。在某些严重病例,有时可以保住眼睛。
电化学疗法
在电化学疗法中,用于化学疗法(主要是博来霉素)的细胞膜可通过电脉冲非热肿瘤消融方法暂时渗透。这种方法在晚期肿瘤以及不同原发灶的皮肤转移中应用[33-35]。通过这种方式,可以治疗上皮肿瘤,例如BCC,尤其是 Gorlin-Goltz 综合征[36,37]。然而,由于这种技术的普及率较低,因此几乎没有相关的可靠数据。
不同系统疗法的组合
有关 Hedgehog 抑制剂和免疫检查点抑制剂联合治疗概念的新数据和病例报告依然被业内热切期待。大家都很感兴趣这种方法的治疗成功率以及副作用程度。
放疗
放射疗法是侵入性、无法手术的BCC的替代治疗选择。建议将其作为明确的以及与手术相结合的辅助治疗选择[35]。放射治疗的适应证选择很重要,最好在多学科环境中进行。放射治疗的主要优点是它通常能够广泛破坏肿瘤。选择放疗而不是手术的另一个原因还可能是复发性肿瘤已显示出更具侵袭性,并且越来越难以通过手术治疗。对于有麻醉禁忌证因此不能进行广泛手术干预的患者,以及对于希望进行器官保留、骨浸润或可能保护患者面容的治愈性BCC治疗的患者,放疗也可能是一种合适的治疗选择[38-40]。各种形式的照射、分割形式、常规放疗以及近距离放射治疗的治愈率与常规手术相当。然而,由于照射后的疤痕,可能存在评估皮肤复发的困难。
Gorlin-Goltz 综合征是放射治疗的相对禁忌证,因为在随访中发现继发性肿瘤发生率增加或出现大量新的BCC[41]。特别是在BCC手术切除后出现残留肿瘤的情况下,使用放射治疗可能是一个有效的选择[42]。放疗对侵袭性BCC的有效性也得到证实,如果不进行手术治疗,放疗可以作为一种有效的替代选择[43]。
低剂量间质近距离放射治疗是一种局部控制良好、美观和功能良好的治疗方法。作为手术的替代方案,近距离放射治疗尤其适用于小的 T1-2 N0 期癌[44,45]。
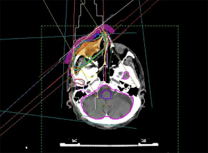
在放射治疗的背景下,所有这些照射技术都被合适地使用。目标是在所有皮肤层中实现良好的剂量分布。因此,照射计划将肿瘤区域围在肿瘤学上足够的安全范围内,通常为 0.5 ~1.5 cm。总剂量选择在 20 ~77 Gy 之间,具体取决于肿瘤情况[46,47]。图3 显示了眼周BCC的治疗计划。
良好的眶周放射治疗计划要求在整个BCC达到肿瘤放射有效剂量,同时保护对辐射敏感的眼睛结构,例如角膜、晶状体、视网膜、视神经和泪腺,包括带有睫毛的眼睑[41,47,48]。然而,辐射引起的副作用可能以不同的形式发生。最常见的是睫毛脱落、干燥症状、角膜表面障碍直至结膜化以及辐射诱发的白内障。放射性视网膜病变和放射性视神经病变在BCC的治疗中很少见,通常应通过良好的放射计划来避免[49,50]。眼科医师和放射治疗师之间的合作有助于以最小化副作用的方式设计放射的范围。特别是在经皮照射中,眼睛的运动控制是必不可少的,这通常是通过患者在照射过程中注视着相机实现的。
与辐射相关的继发性肿瘤发展的风险仍然是确定的,潜伏期至少为 10 年,因此患者的年龄可以成为决定放疗与否的重要标准[51,52]。
局部治疗
BCC的局部治疗主要用于皮肤科。这些替代疗法的使用并未广泛用于眼科。通常,应首先为患者提供显微控制性的眶周切除术。只有在患者对手术表示极大不信任的情况下,才会提供其他治疗眶周BCC的方法且通常只能与该领域经验丰富的专家合作。涉及局部治疗特别是眼周BCC的研究虽然依旧很少,但是已经可以提供一些结果。
光动力疗法
5-ALA 或其酯 MAL(在欧洲最常用)是光敏剂,在皮肤上用波长为 635 nm 的红光光束激活。在这里,起源于 5-ALA 或 MAL 肿瘤组织的原卟啉 IX 被激活并形成单线态氧继而破坏肿瘤细胞。ALA 光动力疗法 (ALAPDT) 的复发率较低,但同时疼痛评分较高,治疗后副作用较多[53]。此外,2种形式的 PDT 均不如显微控制性手术和咪喹莫特疗法[54-56]。除了治疗中的疼痛,副作用还包括初始红斑以及治疗几周后的糜烂和结痂[57]。
咪喹莫特疗法
咪喹莫特疗法是一种 Toll 样受体 7 和 8 激动剂。最初的治疗范围是将其用作抗病毒剂:每周 5 天使用 5% 的乳膏进行治疗,持续 6 周[58]。欧洲批准其用于肿瘤直径小于 2 cm 的BCC。比较研究表明,其在控制复发方面不如手术,但优于 5-FU 疗法以及 PDT 和 MAL[54-56]。副作用可能包括发红、肿胀、脱屑、起泡和疼痛。也可能出现局部淋巴结肿胀的流感样症状[59]。
5-氟尿嘧啶
5-FU是眼科知名的有丝分裂抑制剂,目前用于丝状青光眼手术后处理或结膜肿瘤的辅助治疗。它应该主要被考虑在低风险的浅表BCC患者中使用[60]:以 5% 的浓度涂抹在皮肤上,每天 2 次,持续 4 周[54]。其副作用可能包括发红、肿胀、脱屑、起泡和疼痛。
半手术治疗
半手术治疗包括刮除术和平切除术,这些方法现在已不常使用,使用这些治疗方式时需要在治疗后进行密切随访。未找到其在眼周区域使用的记载。
激光治疗
在BCC的激光治疗中,消融方法与非消融方法不同。在消融手术中,通过CO2或 Er:YAG 激光去除浅表皮肤肿瘤。相反,在非消融手术中,BCC的肿瘤血管是孤立的。在 2018 年进行的一项研究中,CO2激光与眶周区域的 PDT 相结合,对非高危组织病理学亚型的小内眦病变显示出极好的治疗效果[57]。对于这些患者,它可能是一种有效的方法,其并发症最少,且没有很大的复发危险。然而,由于BCC有向纵深扩展的趋势,对于高危BCC应慎重考虑该治疗方案,治疗后密切随访至关重要。
电干燥和刮除术 (ED&C)
ED&C 通常采用连续 3 轮刮除术,然后进行电除术。Woldow等进行了一项假设使用第三轮刮除术进行组织学检查以预测肿瘤复发的研究。经过 2 年的随访,他们的无瘤成功率为 89%。结合病理检查和免疫组织化学的 ED&C 在 2 年时具有 100% 的敏感性和 70% 的特异性[61]。然而,需要更多的研究来确保这种治疗方案的安全性。
冷冻疗法
使用液氮接触或喷雾摄入的冷冻疗法会导致温度低至-196 ℃从而结冰。1995 年的眼周BCC病例系列显示,在平均 5 年的随访期间,其复发率为 7.6%[62],但需要进一步的比较研究来证实这些结果。此外,冷冻疗法后常有疤痕,这可能有掩盖复发的风险。
铼 188 膏近距离放射治疗
该技术称为皮肤病学高剂量 β 近距离放射治疗 (DBBR)。它是一种基于嵌入合成基质中的非密封 β 发射体的铼 188 近距离放射治疗。 基质将被应用到肿瘤上,由特殊的薄塑料箔保护,避免放射性核素直接与皮肤的所有物理接触。覆盖时间是计算过的,达到足够时间之后移除放射性丙烯酸基体的保护箔[63]。通常,一个疗程足以使肿瘤消退。在极少数情况下,当肿瘤厚度过高或发生复发时,可能需要进行第二次治疗。已经有几项回顾性研究取得了有希望的结果。如Cipriani 等最早发现所 52 例参加该研究的 NMSC 患者在 3~12 个月后均出现 100% 的肿瘤缓解[64]。其他研究显示了类似的结果,只需1~2 次必要的疗程并且没有副作用[3]。目前在罗斯托克进行的一项前瞻性研究看起来很有希望证实先前的结果。然而,目前没有研究调查这种方法在眼周BCC中的应用。
双氯芬酸
由于 COX2 在BCC的发展中可能发挥作用,因此学者开始尝试使用 COX2 抑制剂双氯芬酸治疗BCC。在 II 期研究中,可以看到其对浅表BCC的抑制作用,而对结节性BCC则没有效果[65]。到目前为止,眼周BCC患者尚未参与研究。因此,目前不推荐使用 COX2 抑制剂进行治疗。
预防物质
烟酰胺(维生素 B3)
烟酰胺(维生素 B3)提供了一种活性成分,可帮助机体修复细胞中断裂的 DNA ,从而抵消紫外线的伤害。有研究者对来自Nurse’ Health Study and the Health Professionals Follow Up的数据进行了评估,其中记录了烟酰胺的摄入量等,发现每天2 次服用 500 mg烟酰胺可使鳞癌患者BCC的形成减少 20%[66]。然而,烟酰胺对被视为原发性皮肤肿瘤的BCC发展没有预防作用[67]。
目前的研究调查了代谢组学在眼睑BCC中的作用。结果表明,烟酰胺和其他来自 NAD 代谢的代谢物对眼睑BCC具有最高的敏感性、特异性和预测准确性。因此,NAD+代谢途径中的代谢物在未来可能成为生物标志物或治疗靶点[68]。
维甲酸
与鳞状细胞癌相比,类视黄醇是一种细胞周期抑制剂,几乎没有观察到任何预防作用,且由于头痛、肌肉痛、干燥症状、关节痛、疲惫、抑郁和致畸性等副作用目前不建议摄入[69]。此外,作者参考了NCNN非黑色素瘤皮肤癌指南(https://www.nccn.org/)。
结论
眼周BCC的替代治疗方案是可用的。然而,只有在显微控制性手术切除和随后的眼部整形重建不可能时才建议使用,使用替代治疗方案的每个病例都需要跨学科肿瘤委员会的讨论,且治疗需要符合国家指南。
放疗和系统疗法针对的是较大的肿瘤,且应在跨学科肿瘤会议上进行讨论,而局部手术更适合较小的且复发风险不高的肿瘤。由于缺乏对2种治疗方案的治疗成功控制,几乎所有形式的替代治疗都不如显微控制性手术,因此只是在有充分理由不能完整切除时才应该使用。预防BCC的疗法可能是复发病例的一种选择,但由于数据薄弱,不是必须的。
最后,我们期待能够证实在不久的将来辅助或新辅助治疗形式(手术/系统治疗)的有效程度、BCC治疗中的免疫靶点抑制剂能否继续发挥作用,以及hedgehog抑制剂和免疫靶点抑制剂是否可以进一步改善治疗效果。
Acknowledgments
Funding: SE is supported by DFG (No. EM 68/13-1), the European Social Fund (No. ESF/14-BM-A55-0001) and the Ministry of Education, Science and Culture of Mecklenburg-Vorpommern, Germany, as well as the Damp Stiftung.
Footnote
Provenance and Peer Review: This article was commissioned by the editorial office, Frontiers of Oral and Maxillofacial Medicine for the series “Diagnosis and Treatment of Periorbital Basal Cell Carcinoma”. The article has undergone external peer review.
Reporting Checklist: The authors have completed the Narrative Review reporting checklist. Available at https://fomm.amegroups.com/article/view/10.21037/fomm-21-19/rc
Conflicts of Interest: All authors have completed the ICMJE uniform disclosure form (available at https://fomm.amegroups.com/article/view/10.21037/fomm-21-19/coif). The series “Diagnosis and Treatment of Periorbital Basal Cell Carcinoma” was commissioned by the editorial office without any funding or sponsorship. LMH and VK served as the unpaid Guest Editors of the special. LMH serves as an unpaid editorial board member of Frontiers of Oral and Maxillofacial Medicine from September 2020 to August 2022. The authors have no other conflicts of interest to declare.
Ethical Statement: The authors are accountable for all aspects of the work in ensuring that questions related to the accuracy or integrity of any part of the work are appropriately investigated and resolved.
Open Access Statement: This is an Open Access article distributed in accordance with the Creative Commons Attribution-NonCommercial-NoDerivs 4.0 International License (CC BY-NC-ND 4.0), which permits the non-commercial replication and distribution of the article with the strict proviso that no changes or edits are made and the original work is properly cited (including links to both the formal publication through the relevant DOI and the license). See: https://creativecommons.org/licenses/by-nc-nd/4.0/.
References
- Fania L, Didona D, Morese R, et al. Basal Cell Carcinoma: From Pathophysiology to Novel Therapeutic Approaches. Biomedicines 2020;8:449. [Crossref] [PubMed]
- Galindo-Ferreiro A, Sanchez-Tocino H, Diez-Montero C, et al. Characteristics and Recurrence of Primary Eyelid Basal Cell Carcinoma in Central Spain. J Curr Ophthalmol 2020;32:183-8. [Crossref] [PubMed]
- Sedda AF, Rossi G, Cipriani C, et al. Dermatological high-dose-rate brachytherapy for the treatment of basal and squamous cell carcinoma. Clin Exp Dermatol 2008;33:745-9. [Crossref] [PubMed]
- Kakkassery V, Emmert S, Adamietz IA, et al. Alternative treatment options for periorbital basal cell carcinoma. Ophthalmologe 2020;117:113-23. [Crossref] [PubMed]
- Skoda AM, Simovic D, Karin V, et al. The role of the Hedgehog signaling pathway in cancer: A comprehensive review. Bosn J Basic Med Sci 2018;18:8-20. [Crossref] [PubMed]
- Gutzmer R, Solomon JA. Hedgehog Pathway Inhibition for the Treatment of Basal Cell Carcinoma. Target Oncol 2019;14:253-67. [Crossref] [PubMed]
- Kakkassery V, Loeffler KU, Sand M, et al. Current diagnostics and therapy recommendations for ocular basal cell carcinoma. Ophthalmologe 2017;114:224-36. [Crossref] [PubMed]
- Sekulic A, Migden MR, Oro AE, et al. Efficacy and safety of vismodegib in advanced basal-cell carcinoma. N Engl J Med 2012;366:2171-9. [Crossref] [PubMed]
- Sekulic A, Migden MR, Lewis K, et al. Pivotal ERIVANCE basal cell carcinoma (BCC) study: 12-month update of efficacy and safety of vismodegib in advanced BCC. J Am Acad Dermatol 2015;72:1021-6.e8. [Crossref] [PubMed]
- Tang JY, Mackay-Wiggan JM, Aszterbaum M, et al. Inhibiting the hedgehog pathway in patients with the basal-cell nevus syndrome. N Engl J Med 2012;366:2180-8. [Crossref] [PubMed]
- Basset-Séguin N, Hauschild A, Kunstfeld R, et al. Vismodegib in patients with advanced basal cell carcinoma: Primary analysis of STEVIE, an international, open-label trial. Eur J Cancer 2017;86:334-48. [Crossref] [PubMed]
- Chen L, Aria AB, Silapunt S, et al. Treatment of advanced basal cell carcinoma with sonidegib: perspective from the 30-month update of the BOLT trial. Future Oncol 2018;14:515-25. [Crossref] [PubMed]
- Yin VT, Pfeiffer ML, Esmaeli B. Targeted therapy for orbital and periocular basal cell carcinoma and squamous cell carcinoma. Ophthalmic Plast Reconstr Surg 2013;29:87-92. [Crossref] [PubMed]
- Dummer R, Guminski A, Gutzmer R, et al. The 12-month analysis from Basal Cell Carcinoma Outcomes with LDE225 Treatment (BOLT): A phase II, randomized, double-blind study of sonidegib in patients with advanced basal cell carcinoma. J Am Acad Dermatol 2016;75:113-25.e5. [Crossref] [PubMed]
- Eiger-Moscovich M, Reich E, Tauber G, et al. Efficacy of Vismodegib for the Treatment of Orbital and Advanced Periocular Basal Cell Carcinoma. Am J Ophthalmol 2019;207:62-70. [Crossref] [PubMed]
- Su MG, Potts LB, Tsai JH. Treatment of periocular basal cell carcinoma with neoadjuvant vismodegib. Am J Ophthalmol Case Rep 2020;19:100755. [Crossref] [PubMed]
- Danial C, Sarin KY, Oro AE, et al. An Investigator-Initiated Open-Label Trial of Sonidegib in Advanced Basal Cell Carcinoma Patients Resistant to Vismodegib. Clin Cancer Res 2016;22:1325-9. [Crossref] [PubMed]
- Frampton JE, Basset-Séguin N. Vismodegib: A Review in Advanced Basal Cell Carcinoma. Drugs 2018;78:1145-56. [Crossref] [PubMed]
- Curragh DS, Huilgol SC, Selva D. Neoadjuvant vismodegib in the management of locally advanced periocular basal cell carcinoma. Eye (Lond) 2021;35:2740-5. [Crossref] [PubMed]
- Ben Ishai M, Tiosano A, Fenig E, et al. Outcomes of Vismodegib for Periocular Locally Advanced Basal Cell Carcinoma From an Open-label Trial. JAMA Ophthalmol 2020;138:749-55. [Crossref] [PubMed]
- Cox KF, Margo CE. Role of Vismodegib in the Management of Advanced Periocular Basal Cell Carcinoma. Cancer Control 2016;23:133-9. [Crossref] [PubMed]
- Hou X, Rokohl AC, Ortmann M, et al. Effective treatment of locally advanced periocular basal cell carcinoma with oral hedgehog pathway inhibitor? Graefes Arch Clin Exp Ophthalmol 2020;258:2335-7. [Crossref] [PubMed]
- Dummer R, Ascierto PA, Basset-Seguin N, et al. Sonidegib and vismodegib in the treatment of patients with locally advanced basal cell carcinoma: a joint expert opinion. J Eur Acad Dermatol Venereol 2020;34:1944-56. [Crossref] [PubMed]
- Sand M, Bechara FG, Gambichler T, et al. Next-generation sequencing of the basal cell carcinoma miRNome and a description of novel microRNA candidates under neoadjuvant vismodegib therapy: an integrative molecular and surgical case study. Ann Oncol 2016;27:332-8. [Crossref] [PubMed]
- Reck M, Rodríguez-Abreu D, Robinson AG, et al. Pembrolizumab versus Chemotherapy for PD-L1-Positive Non-Small-Cell Lung Cancer. N Engl J Med 2016;375:1823-33. [Crossref] [PubMed]
- Robert C, Schachter J, Long GV, et al. Pembrolizumab versus Ipilimumab in Advanced Melanoma. N Engl J Med 2015;372:2521-32. [Crossref] [PubMed]
- Weber JS, D'Angelo SP, Minor D, et al. Nivolumab versus chemotherapy in patients with advanced melanoma who progressed after anti-CTLA-4 treatment (CheckMate 037): a randomised, controlled, open-label, phase 3 trial. Lancet Oncol 2015;16:375-84. [Crossref] [PubMed]
- Sabbatino F, Marra A, Liguori L, et al. Resistance to anti-PD-1-based immunotherapy in basal cell carcinoma: a case report and review of the literature. J Immunother Cancer 2018;6:126. [Crossref] [PubMed]
- Lipson EJ, Lilo MT, Ogurtsova A, et al. Basal cell carcinoma: PD-L1/PD-1 checkpoint expression and tumor regression after PD-1 blockade. J Immunother Cancer 2017;5:23. [Crossref] [PubMed]
- Fischer S, Hasan Ali O, Jochum W, et al. Anti-PD-1 Therapy Leads to Near-Complete Remission in a Patient with Metastatic Basal Cell Carcinoma. Oncol Res Treat 2018;41:391-4. [Crossref] [PubMed]
- Falchook GS, Leidner R, Stankevich E, et al. Responses of metastatic basal cell and cutaneous squamous cell carcinomas to anti-PD1 monoclonal antibody REGN2810. J Immunother Cancer 2016;4:70. [Crossref] [PubMed]
- Cannon JGD, Russell JS, Kim J, et al. A case of metastatic basal cell carcinoma treated with continuous PD-1 inhibitor exposure even after subsequent initiation of radiotherapy and surgery. JAAD Case Rep 2018;4:248-50. [Crossref] [PubMed]
- Bourke MG, Salwa SP, Sadadcharam M, et al. Effective treatment of intractable cutaneous metastases of breast cancer with electrochemotherapy: Ten-year audit of single centre experience. Breast Cancer Res Treat 2017;161:289-97. [Crossref] [PubMed]
- Kreuter A, van Eijk T, Lehmann P, et al. Electrochemotherapy in advanced skin tumors and cutaneous metastases - a retrospective multicenter analysis. J Dtsch Dermatol Ges 2015;13:308-15. [Crossref] [PubMed]
- Campana LG, Testori A, Curatolo P, et al. Treatment efficacy with electrochemotherapy: A multi-institutional prospective observational study on 376 patients with superficial tumors. Eur J Surg Oncol 2016;42:1914-23. [Crossref] [PubMed]
- Reinhold U. Electrochemotherapy for primary skin cancer and skin metastasis related to other malignancies. Anticancer Drugs 2011;22:711-8. [Crossref] [PubMed]
- Kis E, Baltás E, Kinyó A, et al. Successful treatment of multiple basaliomas with bleomycin-based electrochemotherapy: a case series of three patients with Gorlin-Goltz syndrome. Acta Derm Venereol 2012;92:648-51. [Crossref] [PubMed]
- Strom T, Harrison LB. Radiotherapy for management of basal and squamous cell carcinoma. Curr Probl Cancer 2015;39:237-47. [Crossref] [PubMed]
- Swanson EL, Amdur RJ, Mendenhall WM, et al. Radiotherapy for basal cell carcinoma of the medial canthus region. Laryngoscope 2009;119:2366-8. [Crossref] [PubMed]
- Krema H, Herrmann E, Albert-Green A, et al. Orthovoltage radiotherapy in the management of medial canthal basal cell carcinoma. Br J Ophthalmol 2013;97:730-4. [Crossref] [PubMed]
- Hauschild A, Breuninger H, Kaufmann R, et al. Brief S2k guidelines--Basal cell carcinoma of the skin. J Dtsch Dermatol Ges 2013 ;11 Suppl 3:10-5, 11-6.
- Duinkerken CW, Lohuis PJFM, Crijns MB, et al. Orthovoltage X-rays for Postoperative Treatment of Resected Basal Cell Carcinoma in the Head and Neck Area. J Cutan Med Surg 2017;21:243-9. [Crossref] [PubMed]
- Rishi A, Hui Huang S, O'Sullivan B, et al. Outcome following radiotherapy for head and neck basal cell carcinoma with 'aggressive' features. Oral Oncol 2017;72:157-64. [Crossref] [PubMed]
- Ballester-Sánchez R, Pons-Llanas O, Candela-Juan C, et al. Efficacy and safety of electronic brachytherapy for superficial and nodular basal cell carcinoma. J Contemp Brachytherapy 2015;7:231-8. [Crossref] [PubMed]
- Rio E, Bardet E, Ferron C, et al. Interstitial brachytherapy of periorificial skin carcinomas of the face: a retrospective study of 97 cases. Int J Radiat Oncol Biol Phys 2005;63:753-7. [Crossref] [PubMed]
- Delishaj D, Rembielak A, Manfredi B, et al. Non-melanoma skin cancer treated with high-dose-rate brachytherapy: a review of literature. J Contemp Brachytherapy 2016;8:533-40. [Crossref] [PubMed]
- Cho M, Gordon L, Rembielak A, et al. Utility of radiotherapy for treatment of basal cell carcinoma: a review. Br J Dermatol 2014;171:968-73. [Crossref] [PubMed]
- Berking C, Hauschild A, Kölbl O, et al. Basal cell carcinoma-treatments for the commonest skin cancer. Dtsch Arztebl Int 2014;111:389-95. [PubMed]
- Emami B, Lyman J, Brown A, et al. Tolerance of normal tissue to therapeutic irradiation. Int J Radiat Oncol Biol Phys 1991;21:109-22. [Crossref] [PubMed]
- Marks LB, Yorke ED, Jackson A, et al. Use of normal tissue complication probability models in the clinic. Int J Radiat Oncol Biol Phys 2010;76:S10-9. [Crossref] [PubMed]
- McKeown SR, Hatfield P, Prestwich RJ, et al. Radiotherapy for benign disease; assessing the risk of radiation-induced cancer following exposure to intermediate dose radiation. Br J Radiol 2015;88:20150405. [Crossref] [PubMed]
- Taylor RE, Hatfield P, McKeown SR, et al. Radiotherapy for Benign Disease: Current Evidence, Benefits and Risks. Clin Oncol (R Coll Radiol) 2015;27:433-5. [Crossref] [PubMed]
- Kessels JPHM, Kreukels H, Nelemans PJ, et al. Treatment of superficial basal cell carcinoma by topical photodynamic therapy with fractionated 5-aminolaevulinic acid 20% vs. two-stage topical methyl aminolaevulinate: results of a randomized controlled trial. Br J Dermatol 2018;178:1056-63. [Crossref] [PubMed]
- Love WE, Bernhard JD, Bordeaux JS. Topical imiquimod or fluorouracil therapy for basal and squamous cell carcinoma: a systematic review. Arch Dermatol 2009;145:1431-8. [Crossref] [PubMed]
- Bath-Hextall F, Ozolins M, Armstrong SJ, et al. Surgical excision versus imiquimod 5% cream for nodular and superficial basal-cell carcinoma (SINS): a multicentre, non-inferiority, randomised controlled trial. Lancet Oncol 2014;15:96-105. [Crossref] [PubMed]
- Williams HC, Bath-Hextall F, Ozolins M, et al. Surgery Versus 5% Imiquimod for Nodular and Superficial Basal Cell Carcinoma: 5-Year Results of the SINS Randomized Controlled Trial. J Invest Dermatol 2017;137:614-9. [Crossref] [PubMed]
- Mercuri SR, Brianti P, Dattola A, et al. CO2 laser and photodynamic therapy: Study of efficacy in periocular BCC. Dermatol Ther 2018;31:e12616. [Crossref] [PubMed]
- Carneiro RC, de Macedo EM, Matayoshi S. Imiquimod 5% cream for the treatment of periocular Basal cell carcinoma. Ophthalmic Plast Reconstr Surg 2010;26:100-2. [Crossref] [PubMed]
- Geisse J, Caro I, Lindholm J, et al. Imiquimod 5% cream for the treatment of superficial basal cell carcinoma: results from two phase III, randomized, vehicle-controlled studies. J Am Acad Dermatol 2004;50:722-33. [Crossref] [PubMed]
- Peris K, Fargnoli MC, Garbe C, et al. Diagnosis and treatment of basal cell carcinoma: European consensus-based interdisciplinary guidelines. Eur J Cancer 2019;118:10-34. [Crossref] [PubMed]
- Woldow AB, Melvin ME. Early Detection of Desiccation and Curettage Failure in the Treatment of Basal Cell Carcinoma. Dermatology 2016;232:696-9. [Crossref] [PubMed]
- Tuppurainen K. Cryotherapy for eyelid and periocular basal cell carcinomas: outcome in 166 cases over an 8-year period. Graefes Arch Clin Exp Ophthalmol 1995;233:205-8. [Crossref] [PubMed]
- Carrozzo AM, Sedda AF, Muscardin L, et al. Dermo beta brachytherapy with 188-Re in squamous cell carcinoma of the penis: a new therapy. Eur J Dermatol 2013;23:183-8. [Crossref] [PubMed]
- Cipriani C, Desantis M, Dahlhoff G, et al. Personalized irradiation therapy for NMSC by rhenium-188 skin cancer therapy: a long-term retrospective study. J Dermatolog Treat 2022;33:969-75. [Crossref] [PubMed]
- Brinkhuizen T, Frencken KJ, Nelemans PJ, et al. The effect of topical diclofenac 3% and calcitriol 3 μg/g on superficial basal cell carcinoma (sBCC) and nodular basal cell carcinoma (nBCC): A phase II, randomized controlled trial. J Am Acad Dermatol 2016;75:126-34. [Crossref] [PubMed]
- Chen AC, Martin AJ, Choy B, et al. A Phase 3 Randomized Trial of Nicotinamide for Skin-Cancer Chemoprevention. N Engl J Med 2015;373:1618-26. [Crossref] [PubMed]
- Park SM, Li T, Wu S, et al. Niacin intake and risk of skin cancer in US women and men. Int J Cancer 2017;140:2023-31. [Crossref] [PubMed]
- Huang J, Schaefer J, Wang Y, et al. Metabolic signature of eyelid basal cell carcinoma. Exp Eye Res 2020;198:108140. [Crossref] [PubMed]
- Kadakia KC, Barton DL, Loprinzi CL, et al. Randomized controlled trial of acitretin versus placebo in patients at high-risk for basal cell or squamous cell carcinoma of the skin (North Central Cancer Treatment Group Study 969251). Cancer 2012;118:2128-37. [Crossref] [PubMed]
施燕妮
2022年获南京医科大学口腔医学学士学位,现上海交通大学口腔医学院口腔颌面-头颈肿瘤科专业型硕士研究生在读,师从秦兴军教授,以第一作者发表SCI收录论文1篇。(更新时间:2023-07-13)
秦兴军
医学博士,上海交通大学医学院附属第九人民医院口腔颌面-头颈肿瘤科主任医师,硕士研究生导师。2006年获医学博士学位,后赴美国UCLA研修。担任中国康复医学会修复重建外科专委会头颈外科学组委员,上海市口腔医学会遗传病罕见病专委会常委,上海市抗癌协会头颈肿瘤专委会委员等。发表科研论文70余篇,其中SCI、EI收录40余篇,参编论著5部,先后主持国家重点研发计划重点专项、国家自然科学基金面上项目、省部级科研课题等10余项,荣获省部级科技进步一等奖1项、二等奖1项、三等奖2项,实用新型专利2项。(更新时间:2023-07-13)
(本译文仅供学术交流,实际内容请以英文原文为准。)
Cite this article as: Erikson K, Brosig A, Zimbelmann MW, Emmert S, Guo Y, Heindl LM, Adamietz IA, Ranjbar M, Grisanti S, Kakkassery V. Alternative treatment options for periocular basal cell carcinoma: a narrative review. Front Oral Maxillofac Med 2022;4:25.

